Từ chối điều trị ung thư để tự “chữa lành”
Tháng 6/2025, ông N (68 tuổi), được chẩn đoán mắc ung thư trực tràng di căn gan tại một bệnh viện tuyến trung ương. Kết quả khám bệnh như một “án tử” giáng xuống tinh thần người đàn ông vốn khỏe mạnh, ít ốm đau.
Hoang mang, lo sợ và đặc biệt là ám ảnh bởi những lời đồn thổi về hóa trị “đau đớn, vật vã”, ông N đã đưa ra một quyết định khiến các bác sĩ sau này không khỏi tiếc nuối: từ chối điều trị y học hiện đại để về nhà tự “chữa lành”.
Theo bác sĩ Nguyễn Duy Anh, Phó Giám đốc Trung tâm Ung bướu, Xạ trị và Y học hạt nhân Quốc tế (Bệnh viện Đa khoa Phương Đông), nỗi sợ của ông N không đến từ tư vấn y khoa mà chủ yếu xuất phát từ những thông tin lan truyền trên mạng xã hội. Bệnh nhân tin rằng hóa trị càng làm bệnh nặng hơn, càng nhanh chết, trong khi các phương pháp ‘tự nhiên’ mới là con đường đúng đắn.

Kết quả nội soi đại trực tràng của bệnh nhân N (Ảnh: BSCC).
Sau khi rời bệnh viện, ông N tham gia một số cộng đồng mạng cổ súy cho các phương pháp chữa ung thư bằng thực dưỡng, nhịn ăn và kiềm hóa cơ thể. Trong suốt khoảng 6 tháng, mỗi sáng ông uống nước cốt của một quả chanh pha muối. Ông gần như cắt bỏ hoàn toàn thịt và tinh bột, chỉ ăn rau củ quả, thi thoảng đói quá mới ăn vài thìa cơm nhỏ, với niềm tin rằng “bỏ đói cơ thể sẽ khiến tế bào ung thư chết đi”.
Theo bệnh nhân chia sẻ với bác sĩ, trong các nhóm mạng xã hội này, nhiều người khẳng định khối u sẽ nhỏ lại chỉ nhờ nhịn ăn và uống chanh, càng khiến ông N thêm tin tưởng. Khi siêu âm kiểm tra không thấy khối u giảm kích thước, ông chuyển sang uống nước kiềm. Ông mua một chiếc máy lọc nước được quảng cáo có khả năng “kiềm hóa cơ thể, tiêu diệt tế bào ung thư”, sử dụng thứ nước này thay hoàn toàn nước lọc hằng ngày. Thậm chí, ông còn được hướng dẫn dùng giấy quỳ tím thử nước bọt để “đánh giá độ kiềm” trong cơ thể.
Không dừng lại ở đó, khi cơn đau tức vùng hạ sườn phải do u gan di căn ngày càng tăng, ông tiếp tục tìm đến thuốc nam do một “thầy mát tay” bốc, uống liên tục trong 2 tháng.
Hậu quả là sau nửa năm “tự điều trị”, ông N sụt tới 20kg. Từ một người đàn ông nặng gần 70kg, ông trở nên gầy gò, suy kiệt nghiêm trọng, thân hình chỉ còn da bọc xương.
Nhập viện trong tình trạng cấp cứu nguy hiểm
Bác sĩ Duy Anh cho hay, tháng 12/2025, các triệu chứng của bệnh nhân N trở nên dữ dội: đau khắp bụng, chướng bụng tăng dần, bí trung đại tiện, hậu môn rỉ dịch hồng. Lúc này, gia đình buộc phải đưa ông N nhập viện cấp cứu.
Qua thăm khám và nội soi, các bác sĩ phát hiện khối u ung thư trực tràng đã phát triển lớn, chiếm trọn lòng trực tràng, gây tắc ruột hoàn toàn.
“Đây là tình trạng đe dọa trực tiếp tính mạng, nếu không xử trí kịp thời có thể dẫn đến vỡ ruột, nhiễm trùng ổ bụng và tử vong”, bác sĩ Duy Anh cho biết.
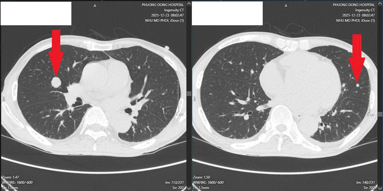
Các bác sĩ buộc phải phẫu thuật cấp cứu, làm hậu môn nhân tạo để giải phóng tình trạng tắc nghẽn phân. Đáng nói, việc từ chối điều trị ban đầu đã khiến bệnh tiến triển nặng nề hơn rất nhiều: khối u gan di căn đã to trên 10cm, xuất hiện thêm nhiều nốt di căn ở cả hai phổi.
“Bệnh nhân đã bỏ lỡ hoàn toàn ‘giai đoạn vàng’ để điều trị”, bác sĩ Duy Anh nhấn mạnh.

Khối u di căn xa tới phổi (Ảnh: BSCC).
Hóa trị không “đáng sợ” như lời đồn
Sau khi nhập viện, các bác sĩ đã đưa ra phác đồ điều trị cho ông N. Theo đó, ông N đã được phẫu thuật chăm sóc dinh dưỡng tích cực trong khoảng 2 tuần để hồi phục thể trạng. Khi sức khỏe cho phép, các bác sĩ bắt đầu điều trị hóa chất theo phác đồ chuẩn cho ung thư trực tràng giai đoạn IV.
Hai tuần sau chu kỳ hóa trị đầu tiên, ông N nhập viện để chuẩn bị bước vào chu kỳ thứ hai. Điều khiến chính ông bất ngờ là những gì diễn ra hoàn toàn khác xa nỗi sợ trước đó: cân nặng không còn sụt, tình trạng đại tiện phân máu biến mất, cơn đau bụng chỉ còn nhẹ và thỉnh thoảng mới xuất hiện, không cần dùng thuốc giảm đau. Ông tự đi lại, sinh hoạt gần như bình thường, không nôn, không vật vã.
“Giá như tôi điều trị từ năm ngoái thì có lẽ đã không phải trải qua cuộc mổ này”, ông N nói với bác sĩ, nở nụ cười xen lẫn tiếc nuối.
Theo bác sĩ Duy Anh, trong ung thư giai đoạn IV, phẫu thuật chỉ giải quyết biến chứng tại chỗ, còn điều trị toàn thân như hóa trị, điều trị đích hay miễn dịch (khi phù hợp) mới là yếu tố quyết định kiểm soát bệnh lâu dài. Việc bắt đầu hóa trị sớm sau mổ giúp kiểm soát sự phát triển của tế bào ung thư, giảm gánh nặng khối u, giảm đau, giảm chảy máu và quan trọng nhất là kéo dài thời gian sống, cải thiện chất lượng sống.
Bác sĩ Duy Anh cho rằng, quan niệm “ung thư giai đoạn IV thì điều trị cũng không để làm gì” là sai lầm nghiêm trọng. Nếu không điều trị, thời gian sống trung bình của bệnh nhân ung thư đại – trực tràng di căn chỉ khoảng 6–8 tháng. Trong khi đó, với điều trị toàn thân đầy đủ, thời gian sống trung bình hiện nay có thể đạt 24–30 tháng, thậm chí một số bệnh nhân đáp ứng tốt có thể sống trên 3–5 năm.
Quan trọng hơn, điều trị không chỉ kéo dài sự sống mà còn giúp người bệnh sống ít đau đớn hơn, ăn uống được, sinh hoạt độc lập, thay vì suy kiệt và chịu đựng biến chứng.
“Ung thư không thể chữa bằng nhịn ăn, uống chanh, nước kiềm hay thuốc nam truyền miệng. Không có bất kỳ bằng chứng khoa học nào cho thấy những phương pháp này có thể tiêu diệt tế bào ung thư. Ngược lại, nhịn ăn kéo dài ở bệnh nhân ung thư sẽ nhanh chóng dẫn đến suy dinh dưỡng, suy mòn, khiến cơ thể yếu đi trong khi tế bào ung thư vẫn phát triển”, bác sĩ Duy Anh khuyến cáo.
Qua trường hợp của ông N, bác sĩ khuyên mọi người dân tỉnh táo trước làn sóng thông tin sai lệch về “chữa khỏi ung thư không cần bác sĩ” đang lan tràn trên mạng xã hội. Ung thư ngày nay không còn đồng nghĩa với “hết hy vọng”, kể cả ở giai đoạn muộn – nhưng cơ hội chỉ đến khi người bệnh được điều trị sớm, đúng và dựa trên y học chứng cứ, thay vì đánh cược tính mạng bằng những niềm tin mù quáng.