*Vui lòng nhập đủ thông tin email hoặc số điện thoại
chanh muối
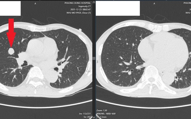
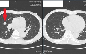
Ung thư lan khắp gan, phổi sau 6 tháng uống chanh muối để tự “chữa lành”
Sống khỏe 2026-01-10T13:00:00Rơi vào tuyệt vọng khi biết mình mắc ung thư trực tràng di căn gan, bệnh nhân 68 tuổi đã từ chối điều trị bằng y học hiện đại để về nhà tự “chữa lành”.
Rộ trào lưu uống chanh muối chữa 'bách bệnh', bác sĩ cảnh báo tác hại sức khỏe
Sống khỏe 2025-11-19T13:03:00Trước trào lưu tin chanh muối có thể chữa ung thư, HIV hay “kiềm hóa cơ thể”, bác sĩ Bạch Mai cảnh báo đây là hiểu lầm tai hại.
Đặt chanh muối trong phòng có công dụng gì?
Đời sống 2023-06-10T13:04:00Đặt chanh, muối ở trong phòng giúp thanh lọc không khí, đem lại nhiều lợi ích sức khỏe.
Tác dụng tuyệt vời của chanh muối
Sống khỏe 2016-10-01T13:06:00Ai cũng biết chanh rất tốt cho sức khỏe. Nhưng chanh muối, theo nhiều nghiên cứu, còn tốt hơn cả khi dùng chanh thông thường.
Rước bệnh với những đồ giải nhiệt tẩm hóa chất cực bẩn
Sống khỏe 2015-06-01T18:30:00Đây là những loại đồ ăn, nước uống giải nhiệt cực đã trong những ngày hè nắng nóng. Nhưng bạn hãy cẩn thận khi dùng chúng bởi vì lợi nhuận, chủ quán có thể dùng các loại hóa chất thay thế nguyên liệu tự nhiên, những nguyên liệu rẻ tiền, không rõ nguồn gốc.
Cách làm chanh muối ngon tuyệt giải nhiệt mùa hè
Sống khỏe 2015-05-15T15:46:15Chỉ cần một chút khéo tay cùng với sự kiên trì bạn đã có thể làm nước chanh muối ngon tuyệt đãi cả nhà.
Tâm điểm

