TP.HCM: Cô gái NGỪNG TIM liên tục ở tuổi 25, bác sĩ cũng phải thốt lên 'gặp một lần trong đời'”

Trang Đào (Tổng hợp) |

Nữ bệnh nhân có nhóm máu A Rh(-) cực hiếm, tim ngừng đập nhiều lần, chảy máu nội tạng... được cứu sống thần kỳ tại Bệnh viện Nhân dân 115.

Ngày 3/8, bác sĩ chuyên khoa II Cao Hoài Tuấn Anh, Bệnh viện Nhân dân 115 (TPHCM) cho hay, khoa Cấp cứu của đơn vị này vừa ghi nhận một ca bệnh rất hy hữu, "có thể chỉ gặp một lần trong đời".

Diễn tiến bệnh nhanh và nghiêm trọng

Bệnh nhân là một nhân viên văn phòng, sống một mình, được đưa vào viện trong tình trạng hôn mê sâu, tụt huyết áp nghiêm trọng và nhanh chóng rơi vào ngừng tuần hoàn hô hấp. Trước đó hai ngày, cô có biểu hiện mệt mỏi, lú lẫn và từng đi khám tại một bệnh viện khác nhưng không phát hiện bất thường trong các kết quả xét nghiệm.

TP.HCM: Cô gái NGỪNG TIM liên tục ở tuổi 25, bác sĩ cũng phải thốt lên 'gặp một lần trong đời'” - Ảnh 1.

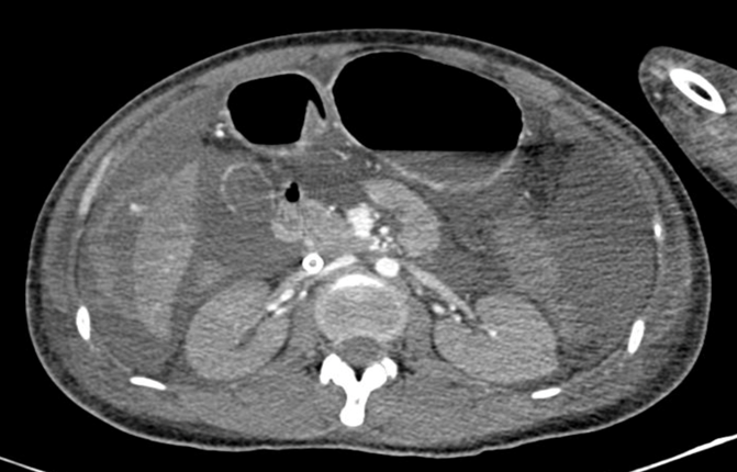
Dịch ổ bụng lượng nhiều, nghi ngờ chảy máu ổ bụng trên phim chụp cắt lớp vi tính. Ảnh: BVCC

Ngay khi nhập viện, các bác sĩ lập tức tiến hành hồi sức cấp cứu nâng cao: ép tim, đặt nội khí quản, thở máy và dùng thuốc vận mạch. Sau khoảng 20 phút, tim bệnh nhân đập trở lại nhưng rất yếu, huyết áp không đo được.

Trước nguy cơ tử vong gần như chắc chắn, ê-kíp điều trị đã quyết định triển khai kỹ thuật ECMO (oxy hóa màng ngoài cơ thể) – một trong những biện pháp hồi sức hiện đại và phức tạp nhất hiện nay. Đội ECMO do ThS.BS Nguyễn Hữu Tín dẫn đầu đã thực hiện thành công thủ thuật trong điều kiện tim bệnh nhân liên tục ngừng đập.

Tình trạng trở nên phức tạp hơn khi bệnh nhân xuất hiện biến chứng chảy máu nội nghiêm trọng, chỉ số hemoglobin tụt xuống chỉ còn 5,5 g/dL. Việc truyền máu gặp khó khăn vì cô mang nhóm máu A Rh(-), một nhóm máu cực kỳ hiếm.

Ngay lập tức, bệnh viện đã liên hệ khẩn cấp với Bệnh viện Truyền máu Huyết học TP.HCM và phát động hiến máu trong nội bộ nhân viên y tế để cứu bệnh nhân. Qua siêu âm và chụp CT, các bác sĩ xác định ổ chảy máu nằm tại vùng gan.

Thoát cửa tử, hồi phục kỳ diệu

Sau hơn một tuần điều trị tích cực, bệnh nhân đã ngưng ECMO, cai máy thở, hồi tỉnh hoàn toàn, các chỉ số gan, thận và tri giác phục hồi rõ rệt. Đặc biệt, dù trải qua nhiều lần ngừng tuần hoàn hô hấp – tình trạng thường để lại tổn thương não nghiêm trọng – song, bệnh nhân không có di chứng thần kinh.

TP.HCM: Cô gái NGỪNG TIM liên tục ở tuổi 25, bác sĩ cũng phải thốt lên 'gặp một lần trong đời'” - Ảnh 2.

Nữ bệnh nhân hồi phục sau một tuần điều trị tích cực (Ảnh: BVCC).

Dù kết quả điều trị rất khả quan, nguyên nhân dẫn đến tình trạng ngưng tim vẫn chưa được xác định rõ. Theo bác sĩ Tuấn Anh, hiện bệnh nhân còn yếu, chưa thể cung cấp thông tin chi tiết về những gì đã sử dụng trước khi nhập viện. Bệnh viện sẽ tiếp tục theo dõi, thăm khám và tìm hiểu nguyên nhân khi bệnh nhân hồi phục thể trạng và tinh thần ổn định hơn.

"Chúng tôi hy vọng có thể làm rõ căn nguyên để có hướng điều trị dứt điểm, tránh tái phát, đồng thời đưa ra khuyến cáo cho cộng đồng, đặc biệt là giới trẻ đang có xu hướng sử dụng thuốc lá điện tử và các sản phẩm chưa được kiểm soát chặt chẽ", bác sĩ chia sẻ.

Ca bệnh của cô gái trẻ là hồi chuông cảnh báo về những nguy cơ sức khỏe tiềm ẩn trong lối sống hiện đại, đặc biệt ở những người trẻ tuổi sống một mình, có thói quen sử dụng thuốc lá điện tử hoặc các chất không rõ nguồn gốc. Việc chủ động lắng nghe cơ thể, kiểm tra sức khỏe định kỳ và tránh xa những thói quen nguy hiểm là điều cần thiết để bảo vệ chính mình trước khi quá muộn.


Đường dây nóng: 0943 113 999

Soha
Báo lỗi cho Soha

*Vui lòng nhập đủ thông tin email hoặc số điện thoại