Ngoài ra, những người bị nhiễm sán dây lợn trưởng thành cũng có khả năng bị bệnh ấu trùng sán lợn.
Tại nước ta, bệnh ấu trùng sán lợn phân bố rải rác ở ít nhất 49 tỉnh, thành phố trong cả nước. Các nhà khoa học đã xác định tỉ lệ nhiễm bệnh chiếm khoảng từ 5 - 7% và thường xảy ra ở những người có tiền sử đã từng ăn rau sống hoặc đã bị nhiễm sán dây lợn trưởng thành trước đó.
Bệnh ấu trùng sán lợn gây nên do những ấu trùng sán lợn ký sinh ở trong cơ, trong não, trong mắt người.
Người bị mắc bệnh ấu trùng sán lợn do ăn phải trứng sán dây lợn. Trứng sán khi vào đến dạ dày và ruột sẽ nở ra ấu trùng sán, chúng di chuyển xuyên qua thành ống tiêu hóa và vào máu để xâm nhập đến ký sinh ở các cơ vân, não và mắt...
Đối với những người bị nhiễm sán dây lợn trưởng thành ký sinh ở trong ruột, khi đốt sán già rụng do phản ứng của nhu động ruột nên đốt sán trào ngược lên dạ dày; trường hợp này xem như người đã ăn phải trứng sán dây lợn với số lượng vô cùng lớn từ đốt sán và số nang ấu trùng sán ở người cũng rất nhiều.

Ăn rau sống mất vệ sinh dễ có nguy cơ mắc bệnh ấu trùng sán lợn
Triệu chứng lâm sàng và chẩn đoán bệnh
Khi mắc bệnh ấu trùng sán lợn, biểu hiện triệu chứng bệnh lý tùy thuộc vào vị trí ký sinh của nang ấu trùng sán. Trên lâm sàng thường phát hiện được các nốt sán dưới da bằng hạt đỗ, hạt lạc, di động dễ, không ngứa, không đau, nằm ở vị trí cơ vân, không ở trên đường đi của hạch bạch huyết.
Bệnh nhân có thể bị động kinh, liệt tay chân hay liệt nửa người, nói ngọng, rối loạn trí nhớ hoặc nhức đầu dữ dội... tùy thuộc vào vị trí ký sinh của ấu trùng sán ở trong não. Người bệnh cũng có thể bị tăng nhãn áp, giảm thị lực hoặc mù lòa nếu ấu trùng sán ký sinh ở mắt.
Chẩn đoán xác định bệnh ấu trùng sán lợn căn cứ vào kết quả xét nghiệm cận lâm sàng với các đặc điểm như:
Nếu bị ấu trùng sán lợn ký sinh ở da, sinh thiết các nốt sán hay nang ấu trùng sán ở dưới da, ép, soi dưới kính hiển vi phát hiện thấy được vòng móc của đầu sán.
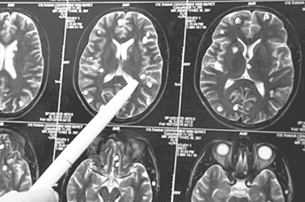
Nếu bị ấu trùng sán lợn ký sinh tại não, chụp cắt lớp CT-scanner có thể phát hiện thấy nang ấu trùng sán ở trong não; đó những nốt dịch có chấm mờ lệch tâm, kích thước khoảng từ 3 - 5mm, có nốt to hơn và có thể bị vôi hóa; khi chụp hình cộng hưởng từ MRI (magnetic resonance imaging) sẽ cho độ chính xác cao hơn nhưng cần cân nhắc để có chỉ định trong từng trường hợp cụ thể.
Nếu bị ấu trùng sán lợn ký sinh ở mắt, soi đáy mắt phát hiện thấy nang ấu trùng sán ở mắt.
Các trường hợp bị nhiễm ấu trùng sán lợn khi xét nghiệm phản ứng Elisa (enzyme linked immunosorbent assay) cho kết quả dương tính với kháng thể đơn dòng.
Chỉ định điều trị
Tất cả các trường hợp bị mắc bệnh ấu trùng sán lợn sau khi chẩn đoán xác định phải được điều trị tại các bệnh viện từ tuyến huyện trở lên để theo dõi, giám sát nhằm đề phòng các tai biến có thể xảy ra.
Có thể sử dụng thuốc praziquantel với liều lượng mỗi lần uống 15mg/ kg trọng lượng cơ thể, uống 2 lần trong ngày, dùng trong 10 ngày; phải điều trị từ 2 - 3 đợt, mỗi đợt cách nhau từ 10 - 20 ngày.
Ngoài ra, cũng có thể sử dụng thuốc albendazol với liều lượng mỗi lần 7,5mg/ kg trọng lượng cơ thể, uống 2 lần trong ngày, dùng trong 30 ngày; phải điều trị từ 2 - 3 đợt, mỗi đợt cách nhau từ 10 - 20 ngày.
Trước khi dùng phác đồ điều trị này, cần phải tẩy sán dây lợn trưởng thành bằng thuốc praziquantel liều duy nhất từ 15 - 20mg/ kg trọng lượng cơ thể.
Cần chú ý chống chỉ định sử dụng thuốc điều trị đối với các trường hợp bệnh nhân là phụ nữ có thai; đang bị bệnh cấp tính hoặc suy tim, gan, thận hoặc bệnh tâm thần... Đồng thời các trường hợp có tiền sử dị ứng với thuốc sử dụng cũng không nên dùng.
Thận trọng khi sử dụng các loại thuốc điều trị đã nêu trên, cho bệnh nhân uống thuốc sau khi ăn no, kiêng dùng rượu bia, các chất kích thích. Bệnh nhân là phụ nữ đang nuôi con bằng sữa mẹ, khi dùng thuốc praziquantel không nên cho con bú trong vòng 72 giờ sau khi uống thuốc. Khoảng cách giữa hai lần uống thuốc phải xa nhau tối thiểu trên 4 giờ.
Nếu người bệnh có nang ấu trùng sán ở mắt, cần cẩn thận khi dùng thuốc praziquantel để đề phòng tai biến có thể xảy ra. Trong quá trình điều trị, bệnh nhân phải được nghỉ ngơi tại chỗ, không tự đi xe máy, đi xa, không lao động hay làm việc.

Nang ấu trùng sán lợn ký sinh ở não
Khi sử dụng thuốc điều trị, cần theo dõi những tác dụng không mong muốn để có biện pháp xử trí phù hợp. Tác dụng không mong muốn của thuốc được biểu hiện với mức độ nặng nhẹ khác nhau tùy thuộc vào tình trạng bệnh và sức chịu đựng của bệnh nhân. Các biểu hiện thường gặp là chóng mặt, nhức đầu, ngủ gà, buồn nôn, nổi mẩn ngứa và có thể sốt, co giật.
Nếu phát hiện các triệu chứng không mong muốn, cần xử trí phù hợp bằng cách cho bệnh nhân nghỉ ngơi tại giường, tùy theo biểu hiện triệu chứng được ghi nhận để sử dụng thuốc và xử trí hậu quả. Chú ý theo dõi bệnh nhân cẩn thận nhằm phòng ngừa các tai biến có thể xảy ra.
Đánh giá tình trạng khỏi bệnh và cách phòng bệnh
Bệnh nhân bị mắc bệnh ấu trùng sán lợn được đánh giá khỏi bệnh sau điều trị từ 3 - 6 tháng khi xác định hết các triệu chứng lâm sàng và hết nang ấu trùng sán hoạt động, ký sinh ở dưới da và trong não.
Phòng bệnh ấu trùng sán lợn có hiệu quả nhất là không nên ăn các loại rau sống không bảo đảm an toàn vệ sinh thực phẩm. Đồng thời phát hiện và điều trị sán dây lợn trưởng thành càng sớm càng tốt nếu bị nhiễm sán.
Bệnh ấu trùng sán lợn trên thực tế đã xảy ra rải rác ở ít nhất 49 tỉnh, thành phố trong cả nước được các nhà khoa học ghi nhận và có khả năng gây bệnh ở nhiều địa phương khác.
Vì vậy các cơ sở điều trị không nên chủ quan, lơ là trong việc chẩn đoán và điều trị do bệnh dễ có nguy cơ dẫn đến biến chứng trầm trọng đối với những bệnh nhân phát hiện muộn, xử trí không kịp thời và phù hợp; nhất là trường hợp ấu trùng sán ký sinh ở trong não và trong mắt.