Từ triệu chứng “nhỏ” đến chẩn đoán nghiêm trọng
Bệnh nhân tới Trung tâm Y học hạt nhân và Ung bướu (Bệnh viện Bạch Mai) khám trong tình trạng tiểu khó kéo dài. Ban đầu, đây là triệu chứng thường gặp, dễ khiến người bệnh chủ quan hoặc nghĩ tới các bệnh lý lành tính về tiết niệu.
Tuy nhiên, qua thăm khám và thực hiện hàng loạt kỹ thuật cận lâm sàng hiện đại như chụp cắt lớp vi tính (CT), cộng hưởng từ (MRI), xạ hình xương và đặc biệt là PET/CT, các bác sĩ đã phát hiện nhiều tổn thương bất thường: khối u tại tuyến tiền liệt cùng các tổn thương ở phổi, tuyến thượng thận và xương.
Theo GS.TS Mai Trọng Khoa và PGS Phạm Cẩm Phương, Trung tâm Y học hạt nhân và Ung bướu (Bệnh viện Bạch Mai), điểm khó nhất trong ca bệnh không nằm ở việc phát hiện khối u, mà là xác định bản chất của từng tổn thương.

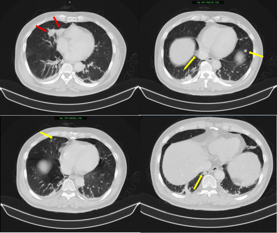
Hình ảnh 02 khối u bờ đa cung ở nhu mô thùy giữa phổi phải, dính vào màng phổi trung thất (mũi tên đỏ) kèm nhiều nốt đặc nhỏ rải rác nhu mô phổi hai bên (mũi tên vàng) gợi ý tổn thương thứ phát.
Trong thực tế, khi xuất hiện nhiều khối u ở các cơ quan khác nhau, phần lớn trường hợp là ung thư di căn. Nếu chẩn đoán sai nhầm lẫn giữa u nguyên phát và tổn thương thứ phát phác đồ điều trị sẽ bị lệch hướng, ảnh hưởng trực tiếp đến tiên lượng sống của bệnh nhân.
Để làm rõ, các bác sĩ đã tiến hành sinh thiết, phân tích mô bệnh học kết hợp hóa mô miễn dịch. Kết quả cho thấy: Khối u phổi là ung thư biểu mô tuyến phổi; Khối u tuyến tiền liệt là ung thư biểu mô tuyến với điểm Gleason 9 – thuộc nhóm nguy cơ cao.
Điều quan trọng: hai loại ung thư này không liên quan di căn với nhau, mà là hai bệnh ung thư nguyên phát độc lập.
Phác đồ điều trị “kép” cho hai bệnh ung thư cùng lúc
Sau khi hội chẩn đa chuyên khoa, các bác sĩ đã xây dựng chiến lược điều trị cá thể hóa, ưu tiên kiểm soát bệnh toàn thân.
Cụ thể: Ung thư phổi được điều trị bằng hóa trị với phác đồ Pemetrexed kết hợp Carboplatin; Ung thư tuyến tiền liệt được điều trị nội tiết bằng Degarelix.
Sau khoảng 2–3 tháng điều trị, tình trạng bệnh nhân ổn định, triệu chứng lâm sàng cải thiện rõ rệt, các chỉ số dấu ấn ung thư giảm cho thấy đáp ứng bước đầu tích cực.
Theo các bác sĩ, đây là trường hợp đa ung thư nguyên phát đồng thì (Synchronous Multiple Primary Malignancies) – khi hai hoặc nhiều khối u ác tính xuất hiện độc lập trong thời gian ngắn. Ở trường hợp bệnh nhân này ung thư phát hiện trong khoảng thời gian chưa đầy 2 tháng.
Dù ung thư phổi và ung thư tuyến tiền liệt đều phổ biến ở nam giới lớn tuổi, việc chúng xuất hiện đồng thời trên cùng một bệnh nhân là tương đối hiếm.
Tuy nhiên, với sự phát triển của các phương tiện chẩn đoán hiện đại, ngày càng nhiều trường hợp tương tự được phát hiện sớm hơn – không phải do bệnh “tăng lên”, mà do khả năng phát hiện tốt hơn.
Cảnh báo từ chuyên gia: Đừng bỏ qua dấu hiệu bất thường
Từ ca bệnh này, các chuyên gia ung bướu đưa ra một số khuyến cáo quan trọng:
- Không chủ quan với các triệu chứng kéo dài, kể cả những biểu hiện tưởng chừng đơn giản như tiểu khó, ho dai dẳng, sụt cân không rõ nguyên nhân.
- Khám sức khỏe định kỳ, đặc biệt ở người trên 50 tuổi hoặc có yếu tố nguy cơ.
- Chẩn đoán chính xác đóng vai trò then chốt: phân biệt u nguyên phát và di căn là nền tảng để lựa chọn đúng phác đồ.
- Phối hợp đa chuyên khoa giúp tối ưu hóa điều trị trong các ca bệnh phức tạp.
Các bác sĩ nhấn mạnh ung thư không phải lúc nào cũng đến theo “một đường thẳng”. Trong một số trường hợp, bệnh có thể xuất hiện đồng thời ở nhiều cơ quan với cơ chế hoàn toàn độc lập. Việc phát hiện sớm và điều trị đúng hướng sẽ quyết định lớn đến hiệu quả kiểm soát bệnh và chất lượng sống của người bệnh.