Diễn tiến âm thầm từ những dấu hiệu tưởng chừng “vô hại”
Bệnh nhân N.K.N (68 tuổi) là một nữ doanh nhân. Bà cho biết, trong nhiều năm bà thường xuyên có cảm giác lạnh toàn thân, đặc biệt là ở bàn tay và bàn chân. Ban đầu, bệnh nhân nghĩ đó chỉ là dấu hiệu bình thường, vô hại nên bỏ qua không đi khám.
Tuy nhiên, triệu chứng này tăng dần theo thời gian, đi kèm cảm giác lo lắng kéo dài nhưng không rõ nguyên nhân.
Khoảng hai năm gần đây, tình trạng trở nên rõ rệt hơn khi bà xuất hiện hàng loạt biểu hiện bất thường như cứng hàm, cứng da mặt khiến việc cử động khó khăn, lưỡi dày và cứng gây trở ngại khi nói. Hai bàn tay có biểu hiện sưng nề, da thâm sậm màu, kèm đau khớp nhẹ.
Gần đây nhất, bệnh nhân bắt đầu xuất hiện khó thở khi gắng sức, kèm theo các cơn đau tức ngực. Xét nghiệm cho thấy men tim tăng nhẹ trong thời điểm có triệu chứng. Dù đã điều trị tại nhiều cơ sở y tế, tình trạng vẫn không cải thiện rõ rệt.
Khi đến khám chuyên sâu, các bác sĩ ghi nhận nhiều dấu hiệu điển hình của bệnh tự miễn. Đáng chú ý là hội chứng Raynaud - tình trạng rối loạn vận mạch ngoại vi khiến bàn tay đổi màu khi gặp lạnh. Ngoài ra, bệnh nhân đã bước vào giai đoạn xơ cứng da với biểu hiện rõ ở mặt và hàm.
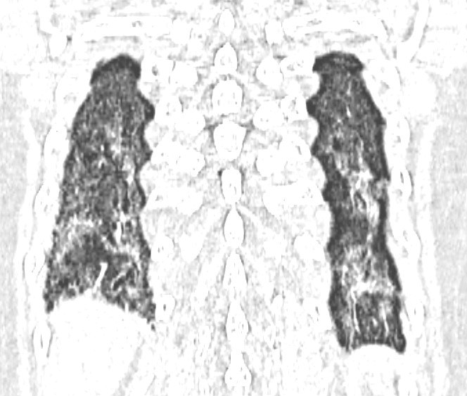
Kết quả xét nghiệm miễn dịch cho thấy sự hiện diện của nhiều tự kháng thể đặc hiệu. Chụp cắt lớp vi tính phổi phát hiện tổn thương phổi kẽ.

Hình ảnh hai phổi bị xơ hóa của bệnh nhân.
Từ các dữ kiện lâm sàng và cận lâm sàng, bệnh nhân được chẩn đoán mắc xơ cứng bì hệ thống thể giới hạn, kèm theo bệnh phổi kẽ và một số rối loạn liên quan đường tiêu hóa.
Theo BSCKI Phạm Đặng Hoài Nam - Chuyên khoa Y học gia đình (Hệ thống Y tế Medltatec), xơ cứng bì hệ thống là bệnh lý đặc trưng bởi ba cơ chế bệnh sinh diễn ra song song gồm: tổn thương vi mạch, rối loạn miễn dịch và xơ hóa mô do tích tụ collagen quá mức. Đây chính là nguyên nhân khiến da và nhiều cơ quan nội tạng bị “xơ cứng” theo thời gian.
Tỷ lệ mắc bệnh khá thấp, ước tính chỉ khoảng 9–19 trường hợp trên một triệu dân mỗi năm. Tuy nhiên, bệnh lại có xu hướng gặp nhiều hơn ở nữ giới, đặc biệt trong độ tuổi 30–50.
Điều đáng lo ngại là hiện nay chưa có phương pháp điều trị khỏi hoàn toàn. Bệnh tiến triển mạn tính, với nguy cơ tử vong sau 10 năm dao động từ 10–20%, chủ yếu do các biến chứng nội tạng, trong đó tổn thương phổi là nguyên nhân hàng đầu.
Xơ cứng bì được chia thành hai thể chính. Thể khu trú thường chỉ ảnh hưởng đến da và có tiên lượng tương đối lành tính. Trong khi đó, thể hệ thống – như trường hợp bệnh nhân trên – có thể gây tổn thương lan rộng đến phổi, tim, thận và hệ tiêu hóa, làm gia tăng đáng kể nguy cơ biến chứng nặng.
Nhận diện sớm qua dấu hiệu ở bàn tay
Bác sĩ Hoài Nam cho biết, một trong những dấu hiệu sớm và quan trọng nhất của bệnh là hội chứng Raynaud, có thể xuất hiện trước nhiều năm so với các triệu chứng khác. Khi tiếp xúc với lạnh hoặc stress, bàn tay người bệnh có thể trải qua ba giai đoạn đổi màu đặc trưng: trắng (do co mạch), xanh tím (thiếu oxy) và đỏ (tái tưới máu), thường kèm cảm giác đau hoặc tê buốt.
Song song với đó, tổn thương da tiến triển qua ba giai đoạn: phù nề (ngón tay sưng), xơ cứng (da dày, mất nếp nhăn) và teo da (co rút, loét đầu ngón). Khi bệnh chuyển sang giai đoạn muộn, người bệnh có thể mất dần khả năng vận động linh hoạt của các khớp ngón tay.

Dấu hiệu bàn tay của bệnh nhân.
Không chỉ dừng lại ở da, xơ cứng bì hệ thống còn gây tổn thương nhiều cơ quan quan trọng. Ở phổi, bệnh có thể dẫn đến xơ hóa kẽ và tăng áp động mạch phổi. Ở tim, bệnh gây rối loạn nhịp hoặc suy tim. Hệ tiêu hóa có thể bị ảnh hưởng với biểu hiện khó nuốt, trào ngược. Trong khi đó, thận có nguy cơ xảy ra suy cấp – một biến chứng nguy hiểm, bác sĩ Hoài Nam cảnh báo.
Do ảnh hưởng đa cơ quan, bệnh nhân xơ cứng bì hệ thống cần được theo dõi lâu dài và quản lý chặt chẽ. Các chuyên gia khuyến cáo người bệnh nên tái khám định kỳ mỗi 3–6 tháng để đánh giá tiến triển lâm sàng.
Riêng với tổn thương phổi, cần kiểm tra chức năng hô hấp định kỳ, bao gồm các chỉ số thông khí như FVC, DLCO, đồng thời chụp CT phổi khi có dấu hiệu ho hoặc khó thở. Ngoài ra, việc tầm soát định kỳ các biến chứng tim mạch, thận và tiêu hóa cũng đóng vai trò quan trọng trong việc giảm nguy cơ tử vong.
Bên cạnh điều trị y khoa, việc tự chăm sóc hàng ngày có ý nghĩa quyết định trong việc duy trì chất lượng sống. Người bệnh cần giữ ấm cơ thể, đặc biệt là bàn tay, tránh tiếp xúc với lạnh, tuân thủ điều trị và theo dõi sát các tác dụng phụ của thuốc.
Bác sĩ Hoài Nam cũng nhấn mạnh, việc điều trị xơ cứng bì hệ thống cần sự phối hợp đa chuyên khoa, bao gồm hô hấp, tim mạch, da liễu, tiêu hóa và miễn dịch. Chỉ khi được quản lý toàn diện, người bệnh mới có thể kiểm soát tốt tiến triển bệnh và hạn chế biến chứng.
Trường hợp của nữ doanh nhân 68 tuổi là lời cảnh báo rõ ràng rằng những dấu hiệu nhỏ như lạnh tay kéo dài hay thay đổi ở da không nên bị xem nhẹ. Việc phát hiện sớm và can thiệp kịp thời có thể giúp làm chậm tiến triển của một căn bệnh hiếm nhưng đầy nguy hiểm này.