Cố giữ "cái ngàn vàng", người phụ nữ 30 tuổi nhận kết quả ung thư niêm mạc tử cung

HN |

Do quan điểm giữ gìn “cái ngàn vàng”, bệnh nhân không được tư vấn hút niêm mạc tử cung làm xét nghiệm tế bào. Chính sự e ngại này khiến việc chẩn đoán nguyên nhân rong kinh bị trì hoãn suốt một thời gian dài.

Mới đây, Khoa khám Phụ khoa Tự nguyện - Bệnh viện Phụ Sản Hà Nội vừa tiếp nhận một bệnh nhân nữ 30 tuổi, chưa từng QHTD, có tiền sử rong kinh kéo dài gần một năm. Trong thời gian đó, chị đã đi khám tại nhiều cơ sở y tế, được chẩn đoán rối loạn nội tiết và điều trị bằng thuốc nội tiết nhiều đợt, tuy nhiên tình trạng ra máu kéo dài không cải thiện.

Kết quả siêu âm cho thấy niêm mạc tử cung của bệnh nhân khá dày. Tuy nhiên, do quan điểm giữ gìn “cái ngàn vàng”, bệnh nhân không được tư vấn hút niêm mạc tử cung làm xét nghiệm tế bào, bởi thủ thuật thông thường cần đặt mỏ vịt qua đường âm đạo, có nguy cơ ảnh hưởng đến màng trinh. Chính sự e ngại này khiến việc chẩn đoán nguyên nhân rong kinh bị trì hoãn suốt một thời gian dài.

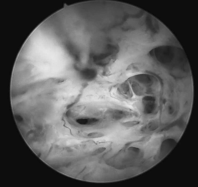
Trước tình huống đó, tại Khoa Khám phụ khoa tự nguyện, bệnh nhân được tư vấn thực hiện soi buồng tử cung sinh thiết bằng ống soi nhỏ, một phương pháp cho phép đánh giá trực tiếp buồng tử cung mà không làm tổn thương màng trinh. Ca thủ thuật được ThS.BSCKII Nguyễn Biên Thùy - Trưởng khoa Khám Phụ khoa Tự nguyện trực tiếp thực hiện.

Quá trình soi diễn ra an toàn, nhẹ nhàng. Bệnh nhân hoàn toàn tỉnh táo và có thể quan sát trực tiếp hình ảnh buồng tử cung. Mẫu sinh thiết được lấy ngay trong quá trình soi để làm xét nghiệm mô bệnh học. Kết quả xét nghiệm cho thấy bệnh nhân bị ung thư niêm mạc tử cung.

Câu hỏi bệnh nhân đặt ra khiến các bác sĩ không khỏi trăn trở: “Nếu em được làm xét nghiệm sớm hơn, ngay từ khi bắt đầu rong kinh, liệu em có còn cơ hội giữ lại tử cung không?”.

Đây không chỉ là nỗi day dứt của người bệnh, mà còn là lời cảnh tỉnh rõ ràng trong thực hành lâm sàng: Rong kinh kéo dài, ra máu bất thường không rõ nguyên nhân, dù ở người trẻ, dù chưa từng QHTD ,vẫn cần được thăm dò đầy đủ để tìm nguyên nhân đến cùng. Việc trì hoãn chẩn đoán vì tâm lý e ngại thủ thuật có thể khiến người bệnh đánh mất “thời gian vàng” cho điều trị sớm.

Chính vì vậy, khi có bất thường về sản phụ khoa, người bệnh nên đến các cơ sở chuyên sâu để được tiếp cận những giải pháp phù hợp, an toàn và chính xác, trước khi những câu hỏi “giá như” trở nên quá muộn.

Rong kinh không đơn giản: Những bệnh tiềm ẩn phía sau triệu chứng nhiều phụ nữ chủ quan

Về mặt y học, rong kinh được hiểu là tình trạng kinh nguyệt kéo dài trên 7 ngày hoặc lượng máu mất đi trong kỳ kinh vượt quá mức bình thường. Khi rong kinh diễn ra liên tục, cơ thể dễ rơi vào thiếu máu mạn tính, gây chóng mặt, hoa mắt, suy nhược, giảm khả năng lao động và học tập.

Đáng lo ngại hơn, rong kinh nhiều khi chỉ là “phần nổi của tảng băng chìm”, che giấu phía sau những bệnh lý cần được phát hiện và điều trị sớm.

Rối loạn nội tiết tố - nguyên nhân thường gặp nhất

Mất cân bằng giữa estrogen và progesterone là nguyên nhân phổ biến gây rong kinh, đặc biệt ở tuổi dậy thì và giai đoạn tiền mãn kinh. Khi nội tiết rối loạn, niêm mạc tử cung phát triển quá mức và bong tróc không đều, dẫn đến chảy máu kéo dài.

Tình trạng này thường liên quan đến stress kéo dài, tăng hoặc giảm cân đột ngột, sinh hoạt thất thường, hoặc các bệnh lý nội tiết như rối loạn chức năng buồng trứng.

U xơ tử cung: Thủ phạm gây rong kinh kéo dài

U xơ tử cung là khối u lành tính nhưng có thể gây ra rong kinh, cường kinh và thiếu máu nghiêm trọng. Nhiều phụ nữ chỉ phát hiện u xơ khi đã có các biểu hiện như bụng dưới to dần, đau tức vùng chậu hoặc tiểu nhiều lần.

Nếu không được theo dõi và xử trí kịp thời, u xơ lớn hoặc nhiều khối có thể ảnh hưởng đến khả năng sinh sản và chất lượng cuộc sống.

Polyp tử cung - nguyên nhân dễ bị bỏ sót

Polyp tử cung là sự tăng sinh bất thường của niêm mạc tử cung, thường gây rong kinh, ra máu giữa kỳ hoặc chảy máu sau quan hệ. Do triệu chứng không rầm rộ, nhiều trường hợp chỉ được phát hiện tình cờ khi đi khám phụ khoa hoặc siêu âm.

Mặc dù đa phần là lành tính, polyp vẫn cần được theo dõi hoặc can thiệp sớm để tránh biến chứng.

Lạc nội mạc tử cung: Không chỉ gây đau mà còn gây rong kinh

Ở bệnh lý này, mô nội mạc tử cung phát triển lạc chỗ ra ngoài tử cung, gây rong kinh kèm đau bụng kinh dữ dội, đau khi quan hệ và có thể dẫn đến vô sinh. Việc chẩn đoán lạc nội mạc tử cung thường khó khăn, dễ bị nhầm lẫn với đau bụng kinh thông thường.

Viêm nhiễm phụ khoa

Viêm cổ tử cung hoặc viêm nội mạc tử cung cũng có thể khiến kỳ kinh kéo dài bất thường. Rong kinh trong trường hợp này thường đi kèm khí hư bất thường, mùi hôi, đau rát vùng kín. Nếu không điều trị sớm, viêm nhiễm có thể lan rộng và gây nhiều biến chứng nguy hiểm.

Rối loạn đông máu và tác dụng phụ của thuốc

Một số bệnh lý rối loạn đông máu khiến máu khó đông, dẫn đến kinh nguyệt kéo dài, ra nhiều. Ngoài ra, rong kinh cũng có thể là tác dụng phụ trong giai đoạn đầu sử dụng thuốc tránh thai nội tiết, thuốc chống đông máu hoặc một số thuốc điều trị khác.

Cảnh giác với bệnh lý ác tính

Dù hiếm gặp, rong kinh cũng có thể là dấu hiệu sớm của ung thư nội mạc tử cung hoặc ung thư cổ tử cung, đặc biệt ở phụ nữ trên 40 tuổi. Cần đặc biệt cảnh giác nếu rong kinh kèm sụt cân, đau vùng chậu, hoặc ra máu bất thường ngoài kỳ kinh, nhất là sau mãn kinh.

Đường dây nóng: 0943 113 999

Soha
Báo lỗi cho Soha

*Vui lòng nhập đủ thông tin email hoặc số điện thoại