*Vui lòng nhập đủ thông tin email hoặc số điện thoại
uống bia
Uống bia có thực sự giúp giải khát?
Sống khỏe 2026-05-07T11:17:00Những ngày hè, mọi người thường có thói quen uống bia lạnh để giải khát, giải nhiệt. Vậy thói quen này có thực sự làm mát cơ thể?
Lý giải việc "nhiều người uống bia vô tư nhưng chịu thua 2 lít nước lọc"
Sống khỏe 2026-03-19T11:39:00Nhiều người thắc mắc vì sao có thể uống liền cả chục ly bia nhưng lại không thể uống một lúc 2 lít nước lọc.
Vì sao nhiều người có thể uống 10 cốc bia cùng lúc nhưng “chịu thua” 2 lít nước?
Sống khỏe 2026-03-14T15:00:00Nhiều người thắc mắc vì sao có thể uống liền cả chục cốc bia nhưng lại “bó tay” trước 2 lít nước lọc, thậm chí lo lắng đó là dấu hiệu thận yếu.
Cảnh tượng hành khách uống bia, ăn nhậu trên máy bay: Có vi phạm quy định? Thì ra nhiều người chưa biết
Đời sống 2026-03-14T07:06:00Nhiều người tò mò sau hành động uống bia, ăn nhậu trên máy bay, 2 vị hành khách có bị xử phạt hay không.
Bác sĩ chuyên khoa gan nói thẳng: Đừng nghĩ uống bia không độ là vô hại!
Sống khỏe 2026-02-13T17:00:00Hiện nay, vì lo ngại tác hại của bia có cồn nên nhiều người chuyển sang bia không độ. Vậy bia không độ có thực sự vô hại hay không?
Vì sao người Địa Trung Hải uống bia nhưng vẫn sống thọ?
Sống khỏe 2026-01-10T13:33:00Điều gì đứng sau nghịch lý tưởng chừng khó hiểu này?
“Thánh mukbang” 14 triệu follow từng bị ném đá vì bầu vượt mặt vẫn ăn cay uống bia bất ngờ tuyên bố tạm dừng hoạt động
Từng vướng tranh cãi vì bầu vượt mặt vẫn ăn cay nóng, uống bia trong các video mukbang, “thánh ăn” sở hữu 14 triệu người theo dõi nay bất ngờ tuyên bố tạm dừng hoạt động.
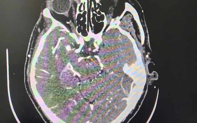
Đột quỵ khi uống bia, người đàn ông thoát chết ngoạn mục
Sống khỏe 2025-10-30T07:11:00Uống bia xong thấy chóng mặt, người đàn ông 60 tuổi bất ngờ bị đột quỵ thể nặng, được bác sĩ cứu sống ngoạn mục trong “thời gian vàng”.
Cơ trưởng uống bia trước giờ bay, một chuyến bay bị chậm 18 tiếng
Kinh doanh 2025-09-06T08:46:00Đây là sự cố hy hữu trong ngành hàng không.
Mỡ trong máu và gan tăng vọt nếu lạm dụng loại đồ uống này: Nhiều người 'vô tư' uống giải khát mỗi ngày
Sống khỏe 2025-08-15T06:30:00Nhiều người Việt vẫn "vô tư" uống loại đồ uống này mỗi ngày mà không biết nó có thể âm thầm làm tăng mỡ máu, mỡ gan và gây hại cho sức khỏe.
'Nhấp' vài lon bia mỗi tối, thanh niên suýt mất mạng vì mỡ máu tăng vọt
Sống khỏe 2025-08-09T16:01:00Chỉ vì thói quen uống vài lon bia hay ăn đồ ngọt mỗi ngày, nhiều người trẻ suýt gặp họa lớn vì nồng độ mỡ trong máu tăng vọt.
Uống bia xong, nếu thấy dấu hiệu này cần đi khám ngay
Sống khỏe 2025-08-06T18:32:00Sau khi uống bia, anh A thường có triệu chứng bất thường. Khi đi khám, anh bất ngờ phát hiện mình đang gặp vấn đề sức khỏe.
Tâm điểm

