TPHCM: Phát hiện ca bệnh nhiễm 'vi khuẩn ăn thịt người'

Vân Sơn |

Ngày 10/10, BS Phó Thiên Phước, khoa Hồi sức Tim mạch, Bệnh viện Nhân Dân Gia Định TPHCM cho biết tại đây vừa tiếp nhận một trường hợp bị nhiễm Whitmore, thường được gọi là 'vi khuẩn ăn thịt người', nguy kịch tính mạng.

Nữ bệnh nhân là chị Đ.T.M.L. (33 tuổi, ngụ tại quận Gò Vấp, TPHCM) đến bệnh viện gần nhà trong tình trạng sốt cao, khó thở kéo dài 3 ngày liên tục. Sau khi nhập viện, bệnh diễn tiến rất nhanh khiến chị L. rơi vào tình trạng suy hô hấp, phải thở máy. Sau 24 giờ nhập viện, bệnh nhân bị sốc nhiễm khuẩn nên được chuyển đến Bệnh viện Nhân Dân Gia Định .

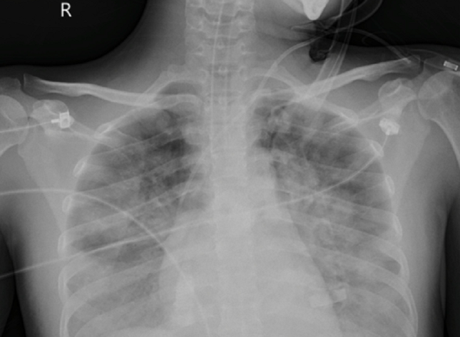
 - Ảnh 1.

Phổi của nữ bệnh nhân bị tổn thương rất nặng cả hai bên phổi do nhiễm 'vi khuẩn ăn thịt người'

Tại đây, bệnh nhân được hồi sức chuyên sâu. Qua thăm khám, chẩn đoán hình ảnh, các bác sĩ phát hiện người bệnh bị tổn thương phổi lan tỏa hai bên chiếm gần 70% thể tích cả hai phổi. Người bệnh đã được đặt hệ thống oxy hóa qua màng ngoài cơ thể (VV-ECMO).

Sau 48 giờ nhập viện, qua kết quả cấy máu xét nghiệm, bác sĩ phát hiện bệnh nhân dương tính với vi khuẩn ăn thịt người Burkholderia pseudomallei (bệnh Whitmore). Đây là bệnh truyền nhiễm rất nguy hiểm, tỷ lệ tử vong cao.

Sau 4 ngày điều trị tích cực, các bác sĩ đã từng bước kiểm soát tổn thương phổi và tình trạng suy hô hấp nặng cho bệnh nhân, sức khỏe của người bệnh dần được cải thiện. Sau 2 tuần điều trị, nữ bệnh nhân đã phục hồi hoàn toàn, đủ điều kiện xuất viện.

Sau khi thoát khỏi cửa tử, nữ bệnh nhân cho biết: “Tôi có thói quen đi chân trần trên mặt đất khi tập thể dục ở công viên để tăng sự nhạy cảm của chân và giúp cơ chân chắc khỏe. Có lẽ vì thói quen này tôi đã bị nhiễm bệnh nguy hiểm này”.

Đường dây nóng: 0943 113 999

Soha
Báo lỗi cho Soha

*Vui lòng nhập đủ thông tin email hoặc số điện thoại