Một câu chuyện cảnh báo từ Minnesota, Hoa Kỳ, nơi một phụ nữ 36 tuổi mắc bệnh ung thư do thói quen mặc áo khoác của cha từ thời thơ ấu, dẫn đến việc các chất gây ung thư tích tụ trong cơ thể cô mà không hề hay biết trong nhiều thập kỷ.
Tờ Mirror đã đăng tải câu chuyện của Heather von St. James, hiện 57 tuổi. Bà kể lại rằng khi còn nhỏ, vào những đêm lạnh giá, bà thường mặc chiếc áo khoác công nhân xây dựng của cha mình để cho những chú thỏ cưng ăn, mà không hề hay biết rằng lớp bụi trắng xám bám trên áo là amiăng, một chất gây ung thư nguy hiểm.
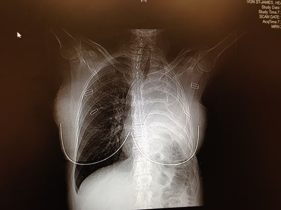
Sau nhiều thập kỷ, khi 36 tuổi và đang mang thai, Heather bắt đầu bị mệt mỏi mãn tính và sốt, phản ánh một bệnh lý tiềm ẩn. Chụp CT não và phổi cho thấy một khối u lớn và chẩn đoán cô mắc bệnh u trung biểu mô, một dạng ung thư ác tính do tiếp xúc trực tiếp với amiăng.
Vào thời điểm đó, các bác sĩ đã thông báo tin dữ rằng nếu không phẫu thuật, bà chỉ còn sống được khoảng 15 tháng. Điều này đã thúc đẩy bà quyết định theo đuổi phương pháp điều trị mà bà có khả năng thực hiện, bao gồm việc cắt bỏ phổi trái, màng phổi, một xương sườn và một phần cơ hoành và màng ngoài tim, tiếp theo là bốn đợt hóa trị và 30 lần xạ trị.
Các bệnh liên quan đến amiăng thường không có triệu chứng ngay lập tức sau khi tiếp xúc, mà có "thời gian ủ bệnh" kéo dài hàng thập kỷ. Các chất này tích tụ dần và gây tổn thương tế bào trong cơ thể, cuối cùng dẫn đến ung thư.
Heather hiện đã chiến thắng căn bệnh ung thư hơn 20 năm. Mặc dù chỉ còn một lá phổi khiến cô dễ mệt mỏi và giảm khả năng vận động, cô vẫn cống hiến hết mình cho việc trở thành diễn giả, chia sẻ kinh nghiệm và nâng cao nhận thức về sự nguy hiểm của amiăng. Cô hy vọng câu chuyện của mình sẽ truyền cảm hứng và tiếp thêm sức mạnh cho những bệnh nhân khác tiếp tục chiến đấu với căn bệnh này.