Mới đây, trong chương trình “Khoảng cách tới sức khỏe”, bác sĩ Ngụy Trí Vỹ, làm việc tại Khoa Cấp cứu Bệnh viện Đài Trung, Đài Loan (Trung Quốc) đã chia sẻ về một trường hợp nam sinh 15 tuổi mắc gan nhiễm mỡ.
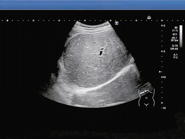
Theo bác sĩ, nam sinh được gia đình đưa đến bệnh viện cấp cứu trong tình trạng đau bụng dữ dội. Kết quả khám cho thấy bệnh nhi bị béo phì, viêm dạ dày cấp tính. Kết quả siêu âm cho thấy gan của nam sinh trắng xóa. Bệnh nhi được chẩn đoán mắc gan nhiễm mỡ nặng.

Gan của nam sinh trắng xóa. (Ảnh: China Times)
2 món khoái khẩu làm tăng nguy cơ mắc gan nhiễm mỡ
Khi khai thác về chế độ ăn uống của bệnh nhi, bác sĩ phát hiện em hiếm khi ăn rau củ quả nhưng lại rất thích ăn gà rán, uống trà sữa. Gần như ngày nào nam sinh cũng tiêu thụ 2 món này.
Theo bác sĩ Ngụy Trí Vỹ, việc tiêu thụ nhiều gà rán và trà sữa là yếu tố khiến bệnh nhi bị béo phì và mắc gan nhiễm mỡ.
Chia sẻ về mối liên hệ của các thực phẩm kể trên với nguy cơ mắc gan nhiễm mỡ, bác sĩ Tiền Chính Hoằng, Giám đốc Trung tâm Phòng ngừa và Điều trị Bệnh Gan, Bệnh viện Keelung Chang Gung Memorial ở Đài Loan (Trung Quốc) cho biết thực phẩm chiên rán ngập dầu chẳng hạn như gà rán, khoai tây chiên,.. là một trong những món ăn được nhiều người yêu thích, đặc biệt là trẻ nhỏ. Tuy nhiên, loại thực phẩm này thường chứa lượng lớn chất béo bão hòa và chất béo chuyển hóa.
Theo một đánh giá năm 2021 trên tạp chí Frontiers in Nutrition, ăn quá nhiều chất béo bão hòa có thể dẫn đến tăng hàm lượng mỡ trong gan, góp phần tăng nguy cơ phát triển bệnh gan nhiễm mỡ.
Do đó, các chuyên gia y tế khuyến cáo mọi người nên hạn chế tiêu thụ các loại thực phẩm chiên rán ngập dầu hoặc cân nhắc sử dụng nồi chiên không dầu để giảm tiêu thụ chất béo bão hòa và chất béo chuyển hóa vào cơ thể.

Đồ chiến rán làm tăng gánh nặng cho gan. (Ảnh minh họa)
Còn trà sữa lại chứa nhiều đường. Theo bác sĩ Tiền Chính Hoằng, đồ uống chứa nhiều đường có thể gây hại cho gan nếu ăn quá nhiều.
Nguyên nhân là do quá trình chuyển hóa đường chủ yếu diễn ra ở gan. Đường (sucrose, glucose, fructose) sẽ được chuyển hóa thành glycogen và dự trữ trong gan. Khi cơ thể cần năng lượng, gan thủy phân glycogen thành glucose đưa vào máu.
Nếu chúng ta nạp một lượng đường vừa phải gan vẫn thực hiện chức năng chuyển hóa hiệu quả. Tuy nhiên, sử dụng quá nhiều đồ uống chứa đường có thể gây ra tình trạng dư thừa đường. Lượng đường dư thừa này sẽ được gan chuyển đổi thành chất béo và tích tụ trong gan, từ đó làm tăng nguy cơ mắc gan nhiễm mỡ.
Bác sĩ Ngụy Trí Vỹ cho biết, nam sinh sau đó đã được bác sĩ tư vấn chế độ dinh dưỡng và chế độ tập luyện phù hợp để giảm cân. Đồng thời bệnh nhi cũng được sử dụng thuốc để cải thiện tình trạng gan nhiễm mỡ.
Thông qua trường hợp của nam sinh kể trên, bác sĩ cũng khuyên cha mẹ nên quan tâm đến chế độ ăn uống cũng như việc tập luyện thể dục của con cái. Điều này giúp phòng ngừa hiệu quả gan nhiễm mỡ ở trẻ.