Cấp cứu bệnh nhân tự ý phá thai khi mang thai tại vết mổ cũ

Tuấn Văn |

Một phụ nữ 40 tuổi tại Lạng Sơn suýt tử vong do tự ý phá thai khi mang thai tại vết mổ lấy thai cũ - bệnh lý hiếm gặp, nguy cơ băng huyết và sốc mất máu rất cao.

Bệnh nhân N.T.L. (40 tuổi) nhập Bệnh viện Đa khoa tỉnh Lạng Sơn trong tình trạng mạch nhanh, huyết áp tụt, da niêm mạc nhợt nhạt, có dấu hiệu sốc mất máu cấp.

Khai thác tiền sử cho thấy bệnh nhân từng 3 lần mổ lấy thai, 1 lần hút thai và 2 lần phá thai bằng thuốc. Sau khi trễ kinh, bệnh nhân đi siêu âm tại cơ sở y tế tư nhân và được xác định có thai hơn 6 tuần. Tuy nhiên, người bệnh đã tự ý sử dụng thuốc phá thai tại nhà, không có chỉ định và theo dõi của bác sĩ chuyên khoa.

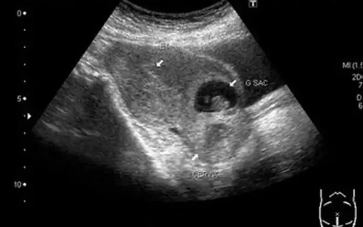
Chỉ vài giờ sau dùng thuốc, bệnh nhân xuất hiện chảy máu âm đạo ồ ạt, lượng máu nhiều, nhanh chóng rơi vào tình trạng nguy hiểm và được đưa đến bệnh viện cấp cứu. Qua thăm khám và siêu âm, các bác sĩ xác định đây là trường hợp chửa tại vết mổ lấy thai cũ - một dạng đặc biệt nguy hiểm của thai ngoài tử cung, khi túi thai làm tổ ngay tại vị trí sẹo mổ đẻ.

Theo các bác sĩ, ở những phụ nữ từng mổ lấy thai nhiều lần, vùng sẹo mổ thường mỏng và kém đàn hồi. Khi thai bám vào đây, việc dùng thuốc phá thai khiến tử cung co bóp mạnh, túi thai bong ra tại vùng không có khả năng co hồi tốt, dẫn đến băng huyết nghiêm trọng, đe dọa tính mạng.

Trước tình trạng nguy kịch, ekip đã tiến hành hút buồng tử cung cấp cứu dưới hướng dẫn siêu âm, kiểm soát được chảy máu. Sau can thiệp, bệnh nhân được theo dõi sát và hiện sức khỏe đã ổn định.

Các bác sĩ khuyến cáo, phụ nữ có tiền sử mổ lấy thai hoặc từng can thiệp buồng tử cung khi mang thai cần được siêu âm sớm để xác định vị trí túi thai. Phá thai bằng thuốc chỉ nên thực hiện tại cơ sở y tế đủ điều kiện, sau khi đã loại trừ thai ngoài tử cung và chửa tại vết mổ. Khi có dấu hiệu đau bụng dưới hoặc ra máu âm đạo bất thường, cần đến ngay bệnh viện để được xử trí kịp thời.

Tags

Đường dây nóng: 0943 113 999

Soha
Báo lỗi cho Soha

*Vui lòng nhập đủ thông tin email hoặc số điện thoại