Một người đàn ông tại Hàng Châu (Trung Quốc) đã mắc cúm A và diễn biến nặng thành "phổi trắng" chỉ sau vài ngày. Trường hợp này là lời cảnh tỉnh cho việc chủ quan với các triệu chứng cảm cúm thông thường.
Anh Lưu (tên nhân vật đã được thay đổi) ở Hàng Châu (Trung Quốc) ban đầu chỉ xuất hiện những triệu chứng ho nhẹ. Anh nghĩ rằng mình chỉ bị cảm lạnh thông thường nên đã mua thuốc cảm về uống và không mấy để tâm. Tuy nhiên, sau khi dùng thuốc, anh vẫn cảm thấy mệt mỏi, chóng mặt, kèm theo ho và có đờm nhiều hơn trước.

Ảnh minh họa
Chỉ vài ngày sau, tình trạng của anh Lưu trở nên nghiêm trọng hơn với các triệu chứng khó thở. Anh đã nhanh chóng đến bệnh viện lớn để kiểm tra. Tại đây, các bác sĩ đã tiến hành xét nghiệm cúm và chụp CT phổi cho anh.
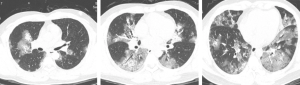
Kết quả cho thấy anh Lưu dương tính với cúm A. Điều đáng lo ngại hơn là hình ảnh CT cho thấy cả hai lá phổi của anh đều bị tổn thương nghiêm trọng, xuất hiện tình trạng mờ kính, hay còn gọi là "phổi trắng". Bác sĩ Lữ Quần, khoa Hô hấp và Hồi sức cấp cứu, Bệnh viện trực thuộc Đại học Sư phạm Hàng Châu, cho biết tình trạng "phổi trắng" thường gặp ở các trường hợp viêm phổi do virus như cúm gia cầm độc lực cao hoặc Covid-19. Tuy nhiên, trường hợp diễn biến nặng từ cúm A thông thường sang "phổi trắng" như anh Lưu khá hiếm gặp. Nồng độ oxy trong máu của anh Lưu đã giảm xuống 85%. May mắn thay, nhờ sự nỗ lực của đội ngũ y tế, tình trạng của anh dần ổn định.

Kết quả chụp CT của ông Lưu cho thấy tình trạng phổi trắng. (Ảnh/Trích từ Qianjiang Evening News)
Bác sĩ Lữ Quần phân tích, những người mắc cúm nặng thường có hệ miễn dịch suy yếu, dễ bị nhiễm trùng thứ phát bởi vi khuẩn như phế cầu khuẩn, tụ cầu vàng hoặc nấm như Aspergillus, Candida. Những bệnh nhiễm trùng này có thể dẫn đến các biến chứng nguy hiểm như viêm phổi hoặc nhiễm trùng huyết.
Mặc dù viêm phổi nặng do cúm A không phổ biến, nhưng những người có bệnh nền (như bệnh tim phổi, phụ nữ mang thai, trẻ nhỏ, người già hoặc người suy giảm miễn dịch) có nguy cơ cao biến chứng thành viêm phổi nặng.
Bác sĩ Lữ Quần nhấn mạnh: "Mặc dù viêm phổi nặng do cúm A hiếm gặp, nhưng ở một số nhóm đối tượng cụ thể, nếu không được điều trị kịp thời và đúng cách, bệnh có thể diễn biến rất nghiêm trọng".
Bác sĩ Lữ Quần cũng lưu ý rằng, cúm không đơn giản chỉ là "sốt vài ngày, uống vài viên thuốc là khỏi" như nhiều người vẫn nghĩ. Cúm có vẻ nhẹ, nhưng thực tế không thể chủ quan. Trường hợp của anh Lưu là một ví dụ điển hình cho thấy sự chủ quan trong điều trị cúm có thể dẫn đến hậu quả nghiêm trọng.
Các dấu hiệu cảnh báo bệnh cúm nghiêm trọng bao gồm:
- Ở trẻ em:
Thở nhanh hoặc khó thở
Môi hoặc mặt tím tái
Đau ngực
Đau cơ nghiêm trọng đến mức trẻ không chịu đi lại
Sốt cao (trên 39 độ C)
Co giật
Lừ đừ, khó đánh thức
Ăn uống kém
Không có nước mắt khi khóc
- Ở người lớn:
Khó thở hoặc thở gấp
Đau ngực hoặc bụng
Đau đầu dữ dội
Lú lẫn
Nôn mửa liên tục
Sốt cao kéo dài
Ho ra đờm đặc, có màu
Nếu bạn hoặc người thân có bất kỳ dấu hiệu nào trong số này, hãy đến bệnh viện ngay lập tức.
Những người có nguy cơ cao bị biến chứng cúm nghiêm trọng bao gồm: Người già trên 65 tuổi; Trẻ em dưới 5 tuổi; Phụ nữ có thai; Người có bệnh mãn tính (tim mạch, hô hấp, tiểu đường...); Người có hệ miễn dịch suy yếu;
Để phòng ngừa bệnh cúm, bạn nên:
- Tiêm vắc-xin cúm hàng năm.
- Rửa tay thường xuyên bằng xà phòng và nước.
- Che miệng và mũi khi ho hoặc hắt hơi.
- Tránh tiếp xúc với người bệnh.
- Đeo khẩu trang khi đến nơi đông người.