25 tuổi phát hiện ung thư gan giai đoạn cuối, bác sĩ xót xa: 3 sai lầm đang âm thầm “hủy hoại” lá gan nhiều người mắc phải

Mỹ Diệu |

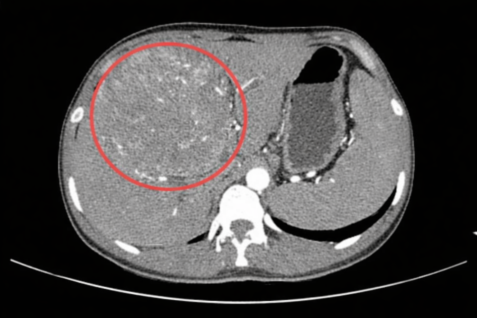
Bệnh nhân là một nam thanh niên 25 tuổi, trên phim chụp cắt lớp vi tính (CT) xuất hiện dòng chữ lạnh lùng: “Khối u gan kích thước lớn”, kèm chẩn đoán ung thư gan giai đoạn cuối.

Mới đây, Bệnh viện Trung tâm Vịnh Binhai, thành phố Đông Quan, Trung Quốc đã tiếp nhận một ca bệnh khiến nhiều người không khỏi bàng hoàng. Bệnh nhân là một nam thanh niên 25 tuổi (tên đã được thay đổi), trên phim chụp cắt lớp vi tính (CT) xuất hiện dòng chữ lạnh lùng: “Khối u gan kích thước lớn”, kèm chẩn đoán ung thư gan giai đoạn cuối.

Ít ai ngờ rằng, cách đây 10 năm, khi còn là học sinh trung học cơ sở, chàng trai này từng được phát hiện dương tính với kháng nguyên bề mặt viêm gan B (HBsAg). Khi đó, vì còn trẻ, không thấy triệu chứng bất thường, anh chủ quan cho rằng “không sao”, không tái khám định kỳ, cũng không tham vấn bác sĩ chuyên khoa. Cho đến gần đây, khi tình trạng mệt mỏi kéo dài, bụng chướng ngày càng rõ, kết quả khám bệnh với chẩn đoán “ung thư gan giai đoạn cuối” mới thực sự giáng xuống như một cú sét giữa trời quang.

25 tuổi phát hiện ung thư gan giai đoạn cuối, bác sĩ xót xa: 3 sai lầm đang âm thầm “hủy hoại” lá gan nhiều người mắc phải- Ảnh 1.

Trường hợp này không hề cá biệt. Thống kê trong giai đoạn 2024-2025 cho thấy, riêng khoa truyền nhiễm của bệnh viện trên đã sàng lọc được 8 bệnh nhân dưới 40 tuổi mắc ung thư gan giai đoạn muộn liên quan đến viêm gan B, trong đó có 2 người chưa đầy 30 tuổi. Đằng sau những con số ấy là hàng loạt lỗ hổng trong nhận thức cộng đồng, khiến một bệnh mạn tính “có thể phòng ngừa và kiểm soát” bị kéo dài, âm thầm tiến triển thành ung thư.

Viêm gan virus là một vấn đề y tế công cộng toàn cầu. Viêm gan virus B (HBV - Hepatitis B Virus) đặc biệt phổ biến do tỷ lệ lây nhiễm cao, nguy cơ mạn tính lớn và nhiều biến chứng nặng nề. Virus này chủ yếu lây qua đường máu, từ mẹ sang con và qua quan hệ tình dục, chứ không phải qua những tiếp xúc sinh hoạt thông thường.

Quan niệm “người mang virus viêm gan B là người mang mầm bệnh khỏe mạnh, không cần điều trị” thực chất đã lỗi thời. Nhiễm viêm gan B giống như một bệnh mạn tính cần theo dõi suốt đời, không phải thứ có thể bỏ qua chỉ vì “còn trẻ” hay “chưa có triệu chứng”.

25 tuổi phát hiện ung thư gan giai đoạn cuối, bác sĩ xót xa: 3 sai lầm đang âm thầm “hủy hoại” lá gan nhiều người mắc phải- Ảnh 2.

Nhiều hiểu lầm phổ biến đang khiến không ít người trả giá đắt.

- Viêm gan B không lây qua ăn chung mâm, bắt tay hay ôm hôn nếu không có tiếp xúc với máu. Nguy cơ lây nhiễm chủ yếu đến từ xăm trổ không đảm bảo vô trùng, dùng chung dao cạo râu, bàn chải đánh răng hoặc các hành vi có phơi nhiễm máu.

- “Không triệu chứng” không đồng nghĩa với “không nguy hiểm”. Virus tồn tại lâu dài có thể dẫn đến xơ gan, xơ hóa gan, thậm chí ung thư gan. Nhiều trường hợp cần điều trị theo chỉ định bác sĩ và phải tái khám định kỳ mỗi 6-12 tháng.

- Viêm gan B không đồng nghĩa chắc chắn sẽ bị ung thư gan. Các nghiên cứu cho thấy, điều trị kháng virus đúng chuẩn có thể giúp giảm hơn 60% nguy cơ ung thư gan trong vòng 5 năm.

Để bảo vệ lá gan, tiêm vắc xin vẫn là biện pháp quan trọng hàng đầu. Trẻ sơ sinh cần được tiêm mũi vắc xin viêm gan B đầu tiên trong vòng 24 giờ sau sinh; đủ 3 mũi có thể đạt hiệu quả bảo vệ trên 95%. Người trưởng thành thuộc nhóm nguy cơ cao như người sống chung với bệnh nhân viêm gan B, nhân viên y tế, người suy giảm miễn dịch cần xét nghiệm kháng thể và tiêm hoặc tiêm nhắc lại khi cần.

Song song đó, việc kiểm tra định kỳ không thể thiếu. Người bình thường nên xét nghiệm bộ chỉ số viêm gan B “hai cặp” mỗi 1-2 năm; nhóm nguy cơ cao cần kiểm tra 6-12 tháng/lần, kết hợp xét nghiệm chức năng gan, siêu âm gan. Người đã nhiễm virus cần theo dõi thêm tải lượng HBV-DNA, alpha-fetoprotein (AFP - chất chỉ điểm ung thư gan) và đo độ đàn hồi gan.

Cuối cùng, điều trị chuẩn mực và tuân thủ y lệnh là yếu tố then chốt. Bệnh nhân viêm gan B mạn tính không nên tự ý ngừng hoặc đổi thuốc, đồng thời cần tránh rượu bia, thuốc lá, duy trì sinh hoạt điều độ và chế độ ăn nhẹ. Quan trọng không kém là sự cảm thông của xã hội, giúp người bệnh không phải giấu giếm tình trạng sức khỏe và bỏ lỡ cơ hội điều trị sớm.

Nguồn và ảnh: QQ

Tags

Đường dây nóng: 0943 113 999

Soha
Báo lỗi cho Soha

*Vui lòng nhập đủ thông tin email hoặc số điện thoại