*Vui lòng nhập đủ thông tin email hoặc số điện thoại
đau đầu
Thường xuyên buồn ngủ, đi khám “sốc” nặng khi biết nguyên nhân
Sống khỏe 2026-03-13T21:00:00Bệnh nhân không ngờ rằng dù chỉ có những triệu chứng đơn giản, chị lại được chẩn đoán mắc một loại nhiễm trùng nguy hiểm trong não.
Đau đầu khi đang livestream, nữ streamer nổi tiếng đột tử trước hàng nghìn người xem
Đời sống 2026-03-13T05:44:00Một nữ streamer nổi tiếng tại Trung Quốc bất ngờ đột tử ngay trong lúc đang phát trực tiếp bán hàng, chỉ ít phút sau khi liên tục than đau đầu và cổ. Vụ việc gây chấn động mạng xã hội, đồng thời dấy lên cảnh báo về nguy cơ đột quỵ ở những người làm việc cường độ cao và thiếu ngủ kéo dài.
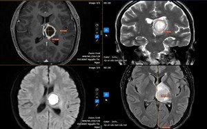
Đau đầu kéo dài một tuần, nam thanh niên 19 tuổi bất ngờ tắc gần hết tĩnh mạch não
Sống khỏe 2025-11-27T13:13:00Chàng sinh viên đang học tại Phú Thọ, sau một tuần đau đầu dữ dội và điều trị tại tuyến dưới không hiệu quả, đã được chuyển lên Bệnh viện Hữu nghị Việt Đức để tiếp tục điều trị.
Không phải cứ đau đầu là do mất ngủ hay căng thẳng! Đau theo 4 kiểu này rất có thể mạng đã "mỏng như giấy"
Sống khỏe 2025-08-04T09:37:00Đúng là mất ngủ hay căng thẳng có thể gây đau đầu, nhưng đây cũng là dấu hiệu của nhiều bệnh nghiêm trọng khác. Thậm chí nguy hiểm tính mạng như u não, đột quỵ.
Thứ cây tưởng chỉ để ăn lại là "bùa hộ mệnh" trước cửa, ông bà xưa khuyên nhà nào cũng nên trồng
Đời sống 2025-06-20T23:07:00Ngải cứu không chỉ là loại cây dễ sống, dễ sử dụng mà còn là biểu tượng cho sự bảo vệ và thanh lọc trong phong thủy dân gian.
Cứ đau đầu là do căng thẳng, mất ngủ? Đừng chủ quan, đau theo 4 kiểu này có thể mạng đã “mỏng như giấy”
Sống khỏe 2024-12-22T08:18:00Đừng xem nhẹ những cơn đau đầu. Rất có thể đó là dấu hiệu cảnh báo nhiều bệnh cực kỳ nghiêm trọng, tính mạng đang “ngàn cân treo sợi tóc”.
Người phụ nữ Phú Thọ suýt mất mạng vì đột quỵ: Cảnh báo 1 thói quen nhiều người Việt hay làm khi đau đầu
Đau đầu là một dấu hiệu của đột quỵ. Việc xử trí không đúng khi gặp dấu hiệu này tiềm ẩn rất nhiều mối nguy hiểm.
Điều gì xảy ra với cơ thể khi bạn bỏ cà phê?
Sống khỏe 2024-08-07T13:21:00Cà phê là một trong những đồ uống được mọi người yêu thích. Một tách cà phê vào buổi sáng hay trong 1 ngày bận rộn sẽ giúp bạn tỉnh táo tức thì. Tuy nhiên uống quá nhiều cà phê cũng gây nên 1 số tác dụng phụ, vì thế nhiều người có ý định bỏ cà phê.
Chàng trai 28 tuổi đau đầu dữ dội, não như đóng băng vì thứ không ai ngờ tới
Sống khỏe 2024-07-21T10:27:00Anh đột nhiên bị đau đầu dữ dội và cảm thấy như thể toàn bộ não của mình bị đóng băng.
Chàng trai 28 tuổi đau đầu dữ dội, "não đóng băng" vì thứ không ai ngờ
Sống khỏe 2024-07-16T14:23:00Anh đột nhiên cảm thấy như toàn bộ não mình bị "đóng băng" và trán như đang thắt lại vì đau. Nguyên nhân đến từ một thứ ít ai ngờ tới.
Có 1 dấu hiệu kéo dài nhiều tuần, bé gái 9 tuổi được phát hiện mắc u màng não kích thước lớn
Sống khỏe 2024-05-03T19:06:00Mới đây, các bác sĩ khoa Phẫu thuật Thần kinh - Bệnh viện E vừa phẫu thuật thành công cho một bệnh nhi nữ 9 tuổi bị u màng não lớn.
Người đàn ông suýt chết sau một cơn đau đầu: BS cảnh báo người có 1 trong 7 đặc điểm này cần cẩn trọng
Sống khỏe 2024-04-26T06:32:00Một người đàn ông 41 tuổi (Đài Loan, Trung Quốc) đã nhập viện cấp cứu trong tình trạng nguy kịch sau khi bị đau đầu dữ dội.
Tâm điểm

