Tìm thấy 2579 bài viết

Bạn gái mới của Hồng Thanh bị check VAR lối sống “phông bạt”, sáng công bố tình yêu chiều vội khoá trang cá nhân

Bạn gái mới của Hồng Thanh bị check VAR lối sống “phông bạt”, sáng công bố tình yêu chiều vội khoá trang cá nhân

"Mới sáng công khai hẹn hò, chiều lộ ảnh phông bạt, netizen check VAR nhanh quá", một cư dân mạng bình luận.

Sao phim "Sex and the city" hạnh phúc bên bạn trai kém 14 tuổi, tiết lộ bí quyết giữ lửa tình yêu

Sao phim "Sex and the city" hạnh phúc bên bạn trai kém 14 tuổi, tiết lộ bí quyết giữ lửa tình yêu

Sao phim “Sex and the city” cho biết cô và bạn trai đã ở bên nhau 8 năm và hai người đã phát triển một mối quan hệ có ý nghĩa.

3 con giáp tận hưởng tình yêu ngọt ngào ngày cuối tuần 17/11

3 con giáp tận hưởng tình yêu ngọt ngào ngày cuối tuần 17/11

Tử vi 12 con giáp ngày 17/11 dự đoán vận trình sự nghiệp, tài lộc, tình duyên giúp bạn chủ động ứng phó vận xui hay may mắn đến với mình.

Nhất quyết cưới bạn trai mắc ung thư, người phụ nữ thành góa phụ chỉ sau 3 tháng: Sẵn sàng ôm 1 tình yêu suốt 20 năm vì một lá thư

Nhất quyết cưới bạn trai mắc ung thư, người phụ nữ thành góa phụ chỉ sau 3 tháng: Sẵn sàng ôm 1 tình yêu suốt 20 năm vì một lá thư

Nguyện làm góa phụ cả đời sau cuộc hôn nhân 3 tháng, người phụ nữ có cách riêng để viết tiếp câu chuyện tình yêu của mình.

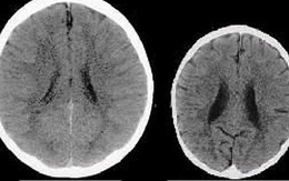
Bức ảnh não bộ của 2 em bé tiết lộ bí mật gây sốc về tình yêu thương của cha mẹ

Bức ảnh não bộ của 2 em bé tiết lộ bí mật gây sốc về tình yêu thương của cha mẹ

Bức ảnh não bộ này hé lộ tầm quan trọng của việc một đứa trẻ được yêu thương ngay từ nhỏ.

Tử vi ngày mới 30/10: 4 con giáp đón tài lộc rực rỡ, công việc thuận lợi, tình yêu thêm ngọt ngào

Tử vi ngày mới 30/10: 4 con giáp đón tài lộc rực rỡ, công việc thuận lợi, tình yêu thêm ngọt ngào

Vận may đang mỉm cười với 4 con giáp may mắn nhất trong ngày 30/10! Tài lộc bất ngờ, công việc suôn sẻ và tình yêu thăng hoa đang chờ đón bạn. Đừng bỏ lỡ cơ hội khám phá xem mình có nằm trong danh sách may mắn này không nhé!

3 con giáp đón vận may, tình yêu và sự nghiệp thăng hoa vào đầu tháng 11

3 con giáp đón vận may, tình yêu và sự nghiệp thăng hoa vào đầu tháng 11

Tháng 11 là thời điểm vàng son cho một số con giáp thay đổi vận mệnh, gặt hái thành công trong sự nghiệp và tình yêu. Cùng khám phá xem những con giáp nào sẽ có cơ hội đổi đời, đón nhận cuộc sống viên mãn như ý nguyện vào tháng 11 này.

Sắp tới, 4 con giáp này bội thu tài lộc, Thần tài chiếu cố nồng hậu, công việc lẫn tình yêu đều lên hương

Sắp tới, 4 con giáp này bội thu tài lộc, Thần tài chiếu cố nồng hậu, công việc lẫn tình yêu đều lên hương

Những ngày tới, nhiều con giáp sẽ bước vào giai đoạn tràn đầy hy vọng và cơ hội khi được trời phú cho tài lộc và vận may. Hãy cùng xem bốn con giáp nào may mắn nhận được sự ưu ái của vũ trụ, tài lộc hanh thông, sự nghiệp gặt hái được thành công vang dội.

MC, BTV Mạnh Khang dẫn "Vũ điệu đam mê", chia sẻ tình yêu với mảnh đất Tây Nguyên

MC, BTV Mạnh Khang dẫn "Vũ điệu đam mê", chia sẻ tình yêu với mảnh đất Tây Nguyên

Thời gian gần đây, Mạnh Khang rất có duyên với Tây Nguyên khi liên tục được mời tham gia dẫn dắt các sự kiện ở mảnh đất này.

Tình yêu cổ tích của 'kình ngư không chân' và NTK áo dài

Tình yêu cổ tích của 'kình ngư không chân' và NTK áo dài

VĐV khuyết tật Nguyễn Hồng Lợi giành nhiều huy chương bợi lội trong nước và quốc tế, nhưng thành công lớn nhất cuộc đời anh là cùng vợ chăm sóc con gái nhỏ.

3 con giáp đường hôn nhân vượng, nhan sắc không phải thế mạnh cũng lấy được chồng tốt, năm 2025 Thần tình yêu ghé thăm

3 con giáp đường hôn nhân vượng, nhan sắc không phải thế mạnh cũng lấy được chồng tốt, năm 2025 Thần tình yêu ghé thăm

Trong tình yêu và hôn nhân, có những cô gái dường như sinh ra đã được "định mệnh" se duyên với hạnh phúc, dù nhan sắc không nổi bật nhưng vẫn tìm được bến đỗ bình yên bên cạnh người chồng lý tưởng. Bí mật nằm ở đâu?

Tử vi 12 con giáp ngày 16/10: Tý công việc khởi sắc, Thân tình yêu như ý

Tử vi 12 con giáp ngày 16/10: Tý công việc khởi sắc, Thân tình yêu như ý

Tử vi 12 con giáp ngày 16/10 dự đoán vận trình sự nghiệp, tài lộc, tình duyên giúp bạn chủ động ứng phó vận xui hay may mắn đến với mình.

Tăng Thanh Hà "thả nhẹ" bức ảnh bên ông xã Louis Nguyễn, thay lời khẳng định tình yêu hơn 1 thập kỷ

Tăng Thanh Hà "thả nhẹ" bức ảnh bên ông xã Louis Nguyễn, thay lời khẳng định tình yêu hơn 1 thập kỷ

Tăng Thanh Hà - Louis Nguyễn là cặp đôi không mấy khi thể hiện tình cảm trên mạng nhưng luôn khiến dân tình ngưỡng mộ.

Tử vi tuần mới (14/10 - 20/10): 3 con giáp tài lộc rực rỡ, thăng tiến vù vù, tình yêu cũng thêm ngọt ngào

Tử vi tuần mới (14/10 - 20/10): 3 con giáp tài lộc rực rỡ, thăng tiến vù vù, tình yêu cũng thêm ngọt ngào

Tử vi tuần mới dự báo có 3 con giáp gặp nhiều may mắn, tài lộc rộn ràng.

Một đàn em tiết lộ: “Từ khi có tình yêu mới, chị Như Quỳnh thay đổi hẳn, không lạm dụng thuốc ngủ”

Một đàn em tiết lộ: “Từ khi có tình yêu mới, chị Như Quỳnh thay đổi hẳn, không lạm dụng thuốc ngủ”

“Ngày trước, có một thời gian chị Như Quỳnh bị tinh thần yếu đuối nên mệt mỏi. Bây giờ chị Như Quỳnh đã thay đổi rất nhiều” – Quang Lê chia sẻ.

Châu Tấn: 9 mối tình, 1 cuộc hôn nhân, U50 vẫn khắc khoải tìm tình yêu vĩnh cửu

Châu Tấn: 9 mối tình, 1 cuộc hôn nhân, U50 vẫn khắc khoải tìm tình yêu vĩnh cửu

Có sự nghiệp thành công với vô số giải thưởng lớn nhỏ danh giá nhưng ở tuổi 50, "quốc bảo diễn xuất" Châu Tấn vẫn là một người phụ nữ khổ vì tình.

Sau mấy tháng 'chát chít' mặn nồng, vợ điếng người khi gặp mặt tình yêu đẹp quen qua mạng

Sau mấy tháng 'chát chít' mặn nồng, vợ điếng người khi gặp mặt tình yêu đẹp quen qua mạng

Cô và chồng đến với nhau do mối tình sét đánh, nhưng cả hai đều là những người có học, có hiểu biết sao không cùng ngồi chung để vun đắp hạnh phúc hôn nhân mà lại chọn cách sống ảo, hẹn hò với đối tác khác giới trên mạng nhằm thoả mãn đam mê cá nhân, nhằm giải quyết chuyện giận hờn nhỏ nhặt giữa vợ chồng mà không nghĩ đến hậu quả tai hại làm ảnh hưởng đến mái ấm gia đình?

Chàng trai 26 tuổi tìm thấy tình yêu đích thực bên người phụ nữ 53 tuổi

Chàng trai 26 tuổi tìm thấy tình yêu đích thực bên người phụ nữ 53 tuổi

Qua thời gian, cặp đôi đã chứng minh cho thiên hạ thấy họ yêu thương, nên duyên vợ chồng là thật. Anh chị đã cùng nhau vượt mọi bão dông cuộc đời.

Chuyện tình “gió tầng nào gặp mây tầng đó” của cặp đôi học bá NEU và ĐH Kinh tế Đà Nẵng: Tình yêu đáng mơ ước khiến CĐM trầm trồ

Chuyện tình “gió tầng nào gặp mây tầng đó” của cặp đôi học bá NEU và ĐH Kinh tế Đà Nẵng: Tình yêu đáng mơ ước khiến CĐM trầm trồ

Chuyện tình yêu của cặp đôi có thành tích học tập xuất sắc, đồng điệu cả tri thức lẫn ngoại hình khiến cộng đồng mạng trầm trồ.

Vợ chồng cùng sống ảo tìm tình yêu qua mạng và cái kết cười ra nước mắt

Vợ chồng cùng sống ảo tìm tình yêu qua mạng và cái kết cười ra nước mắt

Cô và chồng đến với nhau do mối tình sét đánh, nhưng cả hai đều là những người có học, có hiểu biết sao không cùng ngồi chung để vun đắp hạnh phúc hôn nhân mà lại chọn cách sống ảo, hẹn hò với đối tác khác giới trên mạng nhằm thoả mãn đam mê cá nhân, nhằm giải quyết chuyện giận hờn nhỏ nhặt giữa vợ chồng mà không nghĩ đến hậu quả tai hại làm ảnh hưởng đến mái ấm gia đình?

Ngoài tài lộc dồi dào, tháng 9 Âm lịch có 4 con giáp chìm đắm trong mật ngọt tình yêu

Ngoài tài lộc dồi dào, tháng 9 Âm lịch có 4 con giáp chìm đắm trong mật ngọt tình yêu

Tháng 9 Âm lịch là khoảng thời gian hạnh phúc của 4 con giáp này.

NTK Thái Công chia sẻ lý do không xoá những bình luận tiêu cực trên bài đăng MXH: Tôi cảm thông vì họ chưa nhận được sự tôn trọng và tình yêu!

NTK Thái Công chia sẻ lý do không xoá những bình luận tiêu cực trên bài đăng MXH: Tôi cảm thông vì họ chưa nhận được sự tôn trọng và tình yêu!

"Chúng ta không nên khép cửa lại mà phải mở một cánh cửa ra để họ có cơ hội thay đổi, để họ hiểu rằng cuộc sống không phải là những sự ganh ghét mà là sự phát triển của mỗi cá nhân. Mỗi người đều có cơ hội để vươn lên nếu họ biết cách học hỏi và thay đổi thái độ sống", NTK nổi tiếng bày tỏ.

"Nàng dâu bị đuổi khỏi hào môn" đáng thương nhất showbiz Hàn: Con gái tuyên bố chỉ yêu thương mẹ kế, phớt lờ tình yêu của mẹ đẻ

"Nàng dâu bị đuổi khỏi hào môn" đáng thương nhất showbiz Hàn: Con gái tuyên bố chỉ yêu thương mẹ kế, phớt lờ tình yêu của mẹ đẻ

Theo netizen Hàn, những chia sẻ của cô con gái chính là những nhát dao chí mạng dành cho Go Hyun Jung.

Sốc vụ chồng bạo hành vợ bầu, tôi nhớ mình cũng từng cãi lời bố mẹ chạy theo tình yêu, 5 tháng sau lãnh hậu quả

Sốc vụ chồng bạo hành vợ bầu, tôi nhớ mình cũng từng cãi lời bố mẹ chạy theo tình yêu, 5 tháng sau lãnh hậu quả

Sau khi kết hôn, anh ta mới lộ bản chất, khiến cuộc sống của tôi chẳng khác nào địa ngục.

Tử vi ngày 19/9: 3 con giáp "đạp" phải hũ tài lộc, 2 con giáp viên mãn trong tình yêu

Tử vi ngày 19/9: 3 con giáp "đạp" phải hũ tài lộc, 2 con giáp viên mãn trong tình yêu

Tử vi ngày 19/9 dự báo điều gì về may mắn của các con giáp?

Phụ nữ 4 con giáp này đến tuổi trung niên không chỉ viên mãn trong tình yêu mà còn thăng hoa trong sự nghiệp

Phụ nữ 4 con giáp này đến tuổi trung niên không chỉ viên mãn trong tình yêu mà còn thăng hoa trong sự nghiệp

Đến tuổi trung niên, 4 con giáp này sẽ tỏa sáng rực rỡ nhiều lĩnh vực trong cuộc sống.

Tử vi ngày 17/9: 2 con giáp thăng hoa trong công việc, 1 con giáp viên mãn trong tình yêu

Tử vi ngày 17/9: 2 con giáp thăng hoa trong công việc, 1 con giáp viên mãn trong tình yêu

Tử vi ngày 17/9 dự báo điều gì về vận mệnh của 3 con giáp may mắn?

Hòa Minzy muốn nhận nuôi em bé làng Nủ bị lũ cướp cả gia đình: "Mẹ Hòa sẽ cho con đủ đầy tình yêu thương"

Hòa Minzy muốn nhận nuôi em bé làng Nủ bị lũ cướp cả gia đình: "Mẹ Hòa sẽ cho con đủ đầy tình yêu thương"

"Mẹ Hoà luôn dang rộng vòng tay đón con về với nhà mình. Về với mẹ Hoà, tất cả tiền bạc của mạnh thường quân đã, đang cho con thì gia đình giữ lại, mẹ Hoà không liên quan tới, cũng sẽ không bao giờ để con phải lao động vất vả", Hòa Minzy tâm sự.

Dù trong cuộc sống hay tình yêu, phụ nữ cũng nên nằm lòng 2 điều này, đến tuổi trung niên càng thấy đúng

Dù trong cuộc sống hay tình yêu, phụ nữ cũng nên nằm lòng 2 điều này, đến tuổi trung niên càng thấy đúng

Đây là 2 điều mà phụ nữ nên nắm chắc để xây dựng cho mình cuộc sống hạnh phúc.

Tử vi ngày 13/9: 5 con giáp đón niềm vui mới, công việc thuận lợi, tình yêu đong đầy

Tử vi ngày 13/9: 5 con giáp đón niềm vui mới, công việc thuận lợi, tình yêu đong đầy

Dự báo tử vi ngày 13/9 mang đến thông điệp gì cho 5 con giáp may mắn?

Tử vi ngày 11/9: 2 con giáp công việc bứt phá xuất sắc, 1 con giáp tình yêu viên mãn

Tử vi ngày 11/9: 2 con giáp công việc bứt phá xuất sắc, 1 con giáp tình yêu viên mãn

Trong 12 con giáp, con giáp nào sẽ gặp được nhiều vận may?