*Vui lòng nhập đủ thông tin email hoặc số điện thoại
sốt
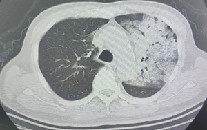
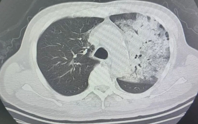
Người đàn ông sốt 40 độ C, phổi gần như 'trắng xóa", chỉ vài ngày đã suy đa tạng: Thủ phạm liên quan đến thói quen nhiều gia đình vẫn mắc
Sống khỏe 2026-03-10T07:00:00Một chiếc điều hòa lâu ngày không được vệ sinh có thể tiềm ẩn rủi ro sức khỏe nghiêm trọng mà nhiều người không ngờ tới.
Bé gái Trung Quốc suýt mù, được bác sĩ Việt cứu ngoạn mục, mẹ bé xúc động: “Tôi vô cùng biết ơn!”
Sống khỏe 2025-11-07T11:00:00Bé gái 5 tuổi người Trung Quốc nhập viện trong tình trạng mắt sưng to, nhãn cầu lồi khỏi hốc mắt, sốt cao và đứng trước nguy cơ mất thị lực vĩnh viễn.
Bé trai 7 tuổi tử vong do cúm A sau khi sốt liên tục 48 tiếng
Sống khỏe 2025-07-24T10:22:00"Hôm trước cháu vẫn còn đùa giỡn với gia đình, nhưng hôm sau cháu phải nhập viện vì sốt cao và co giật. Tôi cứ tưởng chỉ là sốt và sổ mũi...", người thân của bé trai khóc hối hận.
Tìm nguyên nhân khiến nhiều học sinh ở Bắc Kạn có biểu hiện ốm, sốt bất thường
Sống khỏe 2024-09-21T07:08:00Cơ quan chuyên môn thành phố Bắc Kạn (tỉnh Bắc Kạn) đang khẩn trương tìm nguyên nhân khiến nhiều học sinh tại một trường học trên địa bàn có biểu hiện ốm, sốt bất thường.
Chăm tập thể dục mỗi sáng bỗng bị sốt cao không hạ, đêm khuya phải nhập viện: Bác sĩ nói "Sao bây giờ mới đến?"
Sống khỏe 2024-05-15T16:19:00Hàng ngày đi chạy bộ vào sáng sớm để khỏe mạnh hơn, người đàn ông không thể ngờ tai ương này lại tìm đến mình.
Viêm đường hô hấp cấp 'vào mùa': Bác sĩ cảnh báo dấu hiệu bệnh đã có biến chứng
Sống khỏe 2023-11-03T12:07:00Khoảng 2 tuần gần đây, số bệnh nhi tới Phòng khám Nhi (Bệnh viện Đại học Y Dược TP.HCM) khám tăng hơn 50% so với mức trung bình. Đa số bệnh nhi gặp phải vấn đề viêm đường hô hấp cấp.
Bé trai nguy kịch sau cơn sốt cao kéo dài 4 giờ và dấu hiệu bệnh chuyển nặng cần chú ý
Sốt cao kéo dài 4 giờ đồng hồ, cậu bé 12 tuổi xuất hiện những dấu hiệu bất thường và rơi vào tình trạng nguy kịch.
Một loại sốt chấm hải sản của Việt Nam mà người nước ngoài ăn đều thốt lên "Tại sao nó không nổi tiếng?"
Nhịp sống mới 2023-05-21T14:10:00(Tổ Quốc) - Người nước ngoài nào từng thử qua loại sốt muối ớt xanh chấm hải sản của Việt Nam cũng đều thắc mắc tại sao ngon như vậy lại không được nhiều người phát hiện.
2 ngày ho, sốt, bé 7 tuổi nhập viện trong tình trạng phổi đông đặc
Sống khỏe 2023-05-18T11:04:00Viêm phổi do Mycoplasma dễ nhầm lẫn với cảm cúm thông thường nên nhiều bậc phụ huynh thường tự ý điều trị cho con tại nhà.
Nhiều học sinh sốt, ho bất thường do nhiễm siêu vi hô hấp
Sống khỏe 2023-03-02T09:17:00Ngày 23/2 vừa qua, Trung tâm Kiểm soát bệnh tật TPHCM (HCDC) nhận được báo cáo của Trung tâm Y tế quận Bình Thạnh về hiện tượng một số học sinh nghỉ ốm tăng cao bất thường tại Trường THCS Lê Văn Tám và THCS Lam Sơn.
Sau sốt vẫn ho dai dẳng cả tháng trời, bệnh gì?
Sống khỏe 2022-12-17T11:38:00Nhiều người lo lắng mặc dù đã hết sốt, cảm cúm nhưng những cơn ho vẫn “đeo bám” cả tháng trời không hết. Biểu hiện ho dai dẳng có nguy hiểm không? Làm sao để điều trị?
Lên mạng 'xin' toa thuốc, lợi bất cập hại
Sống khỏe 2022-09-29T10:00:00Hiện nhiều loại bệnh như hô hấp, tiêu chảy, sốt xuất huyết, vi rút Adeno... đang hoành hành. Số trẻ mắc các bệnh này đến khám và nhập viện tại các bệnh viện nhi tăng mạnh.

