*Vui lòng nhập đủ thông tin email hoặc số điện thoại
sán lá gan
Ăn cá theo cách này, nhiều người bị tổn thương gan: Bác sĩ cảnh báo
Sống khỏe 2025-12-27T15:30:00Cá là thực phẩm quen thuộc trong bữa ăn của người Việt. Tuy nhiên, việc ăn cá không đúng cách có thể khiến nhiều người bị tổn thương gan do nhiễm sán lá gan.
Món ăn chế biến từ cá "dẫn lối" cho ung thư: Thích tới mấy cũng phải dè chừng
Sống khỏe 2025-12-17T10:50:00Món ăn chế biến từ cá này được cho là nguyên nhân gây tử vong cho tới 20.000 người ở Thái Lan mỗi năm. Tại Việt Nam, cách ăn cá này cũng là thói quen của nhiều địa phương.
Món ăn quen thuộc âm thầm "ăn mòn" lá gan: Người đàn ông đi khám bàng hoàng nhận kết quả
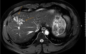
Sống khỏe 2025-12-09T21:00:00Người đàn ông Bắc Ninh khi đau hạ sườn đi khám gan đã tổn thương với ổ áp xe rộng.
Món ăn tưởng tốt cho gan hóa ra ngấm ngầm tàn phá, "ăn mòn” cơ quan này
Sống khỏe 2025-12-08T13:31:00Nhiều người Việt duy trì thói quen ăn gỏi cá, rau sống hoặc thực phẩm thủy sinh vì nghĩ “tươi – sạch – mát gan”, nhưng chỉ đến khi phải nhập viện với biểu hiện vàng da mới biết gan đã bị ký sinh trùng tấn công.
Món "khoái khẩu" của không ít người Việt có thể gây tổn thương gan, thậm chí ung thư
Sống khỏe 2025-12-02T13:00:00Theo cảnh báo của chuyên gia, những món ăn này làm tăng nguy cơ nhiễm sán, gây tổn thương gan lúc nào không hay.
Chủ quán bất ngờ nhận tin gan bị tổn thương nặng vì chính món ăn mình bán mỗi ngày
Sống khỏe 2025-10-07T06:30:00Đang cảm thấy khỏe mạnh, một người đàn ông ở Hà Nội đi khám sức khỏe định kỳ thì bất ngờ nhận kết quả gan bị tổn thương nghiêm trọng.
Người đàn ông 41 tuổi gan đầy ổ sán lá gan vì thói quen này của nhiều người Việt
Nam bệnh nhân 41 tuổi, tại Hà Nội mới đây được phát hiện tổn thương gan nghiêm trọng do nhiễm sán lá gan lớn.
Cả nhà 3 người bị sán lá gan vì tin tỏi, gừng, ớt diệt hết ký sinh trùng
Sống khỏe 2025-08-19T21:25:00Cũng với suy nghĩ đó, có trường hợp bị ký sinh trùng suýt mất mạng.
Món cá khoái khẩu nhưng cực "phá gan", nhiều người hối hận sau khi ăn: Bác sĩ cảnh báo nên bỏ ngay
Sống khỏe 2025-08-19T09:03:00Theo trang tin Jimu News (Trung Quốc), đây là món cá nhiều người mê mẩn nhưng có thể gây ảnh hưởng xấu tới sức khoẻ của gan.
Món ăn khoái khẩu của người Việt tiềm ẩn ký sinh trùng gây tổn thương gan
Sống khỏe 2025-05-08T16:34:00Người Việt duy trì thói quen ăn đồ sống, tái như gỏi cá, tiềm ẩn nguy cơ nhiễm sán lá gan – loại ký sinh trùng có thể gây tắc mật, xơ gan, ung thư đường mật.
Kiểu nhúng rau khi ăn lẩu nhiều người thích nhưng có thể gây tổn thương gan, "dẫn lối" cho ung thư
Sống khỏe 2024-11-26T17:18:00Khi thời tiết chuyển lạnh, món lẩu là lựa chọn ưa thích của nhiều người. Lẩu là món ăn ngon, nhưng nếu ăn không đúng cách có thể gây hại cho sức khỏe.
Người đàn ông Hà Nội có gan tổn thương lỗ chỗ, bác sĩ chỉ rõ 'thủ phạm' là 1 thói quen khi ăn
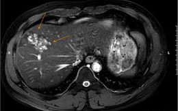
Sống khỏe 2024-08-29T11:45:00Người đàn ông Hà Nội có một số triệu chứng cơ thể thoáng qua nhưng nghĩ do bệnh tuổi già. Đến khi ông đi khám sức khỏe định kỳ mới phát hiện gan có nhiều ổ áp xe.
Tâm điểm

