*Vui lòng nhập đủ thông tin email hoặc số điện thoại
phổi
Chàng trai 24 tuổi có phổi 'già cỗi' như người 70, hối hận nói: "Thói quen này gần như lấy mạng tôi"
Sống khỏe 2025-06-25T15:32:00Chàng trai 24 tuổi ở Mỹ được chẩn đoán bị xơ hóa phổi nghiêm trọng, lá phổi “già cỗi” như người 70 tuổi. Nguyên nhân đến từ một thói quen kéo dài hơn 1 thập kỷ.
Tràn khí màng phổi do 1 thói quen thường gặp ở người trẻ tập gym
Sống khỏe 2025-06-19T18:02:00Nam bệnh nhân 25 tuổi nhập viện trong tình trạng đau tức ngực, khó thở sau khi tập gym.
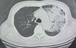
Người đàn ông trắng xóa nửa lá phổi vì 1 sai lầm nhiều người mắc khi dùng quạt điều hòa
Sống khỏe 2025-05-09T20:00:00Mới đây, Bệnh viện Nhân dân số 5 Thành Đô (Trung Quốc) đã tiếp nhận một trường hợp bệnh nhân nam có nửa lá phổi trắng xóa. Nguyên nhân đến từ 1 sai lầm khi sử dụng quạt điều hòa.
5 thứ trong nhà “bào mòn” lá phổi còn nhanh hơn cả không khí ô nhiễm nhưng ít người để ý
Sống khỏe 2025-04-20T15:10:00Không cần sống giữa khói bụi hay ô nhiễm công nghiệp, lá phổi của bạn vẫn có thể bị “ăn mòn” ngay trong chính ngôi nhà tưởng như an toàn nhất.
Hà Nội: Con bị bạn xô ngã, bố mẹ đưa đi khám, bất ngờ khi nhìn vào ảnh chụp CT
Sống khỏe 2025-03-18T16:25:00Bé trai 8 tuổi ở Hà Nội bị bạn xô ngã, cảm thấy đau vùng sườn phải và khó thở. Kết quả chụp CT sau đó khiến gia đình vô cùng bất ngờ.
Nữ nghệ sĩ 4 tháng nằm một chỗ, phải mổ xương, mổ não, tiền bạc cạn kiệt
Giải trí 2025-03-04T00:00:00“Từ hôm đó tới giờ tôi mất cũng hơn 200 triệu rồi. Ban đầu bà ấy bị khớp tôi cứ chủ quan, nhưng đến lúc té ngã mẻ xương tới giờ là hơn 4 tháng bà ấy nằm một chỗ rồi” – nghệ sĩ Vũ Thanh nói.
Người sống thọ thường có hai bộ phận “siêu sạch sẽ”, sau 45 tuổi hãy kiểm tra thường xuyên
Đây là hai bộ phận nắm giữ các vai trò quan trọng trong cơ thể. Những người giữ được hai bộ phận này luôn “sạch sẽ” sẽ có ít nguy cơ mắc bệnh tật.
Người đàn ông Hà Nội nhập viện cấp cứu, phát hiện phổi đã thủng lỗ: Bác sĩ chỉ rõ nguyên nhân
Sống khỏe 2024-12-02T11:28:00Sau khi đi làm về, người đàn ông nhận thấy cơ thể xuất hiện các triệu chứng bất thường nên đã đến viện khám. Kết quả khám cho thấy phổi của anh bị thủng lỗ.
Bé trai bị viêm phổi hít do uống dầu thắp đèn
Sống khỏe 2024-11-10T13:33:00Bệnh viện Nhi đồng Thành phố (TP Hồ Chí Minh) vừa tiếp nhận một trường hợp bé trai hơn 1 tuổi, ngụ tại Tây Ninh, trong tình trạng khó thở tím tái.
5 thực phẩm màu trắng giúp bổ phổi, bệnh tật tránh xa
Sống khỏe 2024-11-01T14:03:00Phổi là cơ quan quan trọng của cơ thể con người, không chỉ có chức năng hô hấp mà còn là nơi tạo máu.
Bé gái 6 tuổi phổi chuyển sang màu trắng sau 3 ngày, bác sĩ cảnh báo mối nguy từ việc làm yêu thích ngày hè
Sống khỏe 2024-08-03T17:56:00Không chỉ hút thuốc mới khiến phổi bạn "trắng bệch" mà còn có một mối nguy khác vào ngày hè mà nhiều người gặp phải.
Dùng điều hòa không chịu vệ sinh, người đàn ông hôn mê suýt chết, phổi trắng xóa
Sống khỏe 2024-07-03T13:33:00Sau 2 ngày ho không ngừng, anh Vương mê man, phổi trắng xóa và gần như mất chức năng, tính mạng bị đe dọa, nguyên nhân là đã quá lâu anh không chịu vệ sinh điều hòa.

