*Vui lòng nhập đủ thông tin email hoặc số điện thoại
mang thai 4
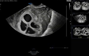
Cực hiếm gặp: Bệnh viện Phụ Sản Hà Nội ghi nhận 1 sản phụ mang thai 4 tự nhiên, tỷ lệ chỉ khoảng 1/700.000 - 800.000 ca
Sống khỏe 2025-07-05T17:02:00Trường hợp đặc biệt với tỷ lệ hiếm chỉ 1/700.000 ca mang thai tự nhiên khiến giới chuyên môn lẫn cộng đồng không khỏi bất ngờ.
Hy hữu: Người phụ nữ mang thai 4 tự nhiên ở Việt Nam
Thời sự - Xã hội 2015-05-20T16:09:00Đó là trường hợp hiếm có của của chị Hoàng Thị Xuân (SN 1989) trú tại xã Hưng Trạch, huyện Bố Trạch (Quảng Bình).
Tâm điểm

