VIDEO: Vụ xô xát tại quán bida ở phường Ba Đồn khiến 1 thiếu niên 16 tuổi tử vong
Sau vụ xô xát tại quán bida ở phường Ba Đồn, tỉnh Quảng Trị khiến Phạm Anh Q. (16 tuổi, ngụ cùng địa phương) tử vong, đã có nhiều ý kiến về nguyên nhân tử vong do tác động ngoại lực.
Trao đổi với phóng viên Báo Người Lao Động, bác sĩ Nguyễn Đức Hùng, Trưởng Khoa Chẩn đoán hình ảnh - Bệnh viện Hữu nghị Việt Nam - Cuba Đồng Hới, đã đưa ra nhận định chuyên môn ban đầu dựa trên các dấu hiệu lâm sàng và hình ảnh chẩn đoán.
"Không phải tử vong do bị đánh mà do bệnh lý có sẵn"
Theo bác sĩ Hùng, sau khi xem kỹ video về các biểu hiện của Q. trước khi ngã và kết quả hình ảnh mà bệnh nhân vào cấp cứu tại bệnh viện này cho thấy nhiều khả năng em Q. tử vong liên quan đến bệnh lý phình mạch máu não bẩm sinh - một dị dạng mạch não có thể vỡ bất cứ lúc nào, nhất là khi gắng sức.
"Phình mạch não giống như "cái săm xe đạp" phồng lên bên trong mạch máu. Nó có thể vỡ bất kỳ lúc nào nếu áp lực tăng đột ngột. Trong lúc xô xát, nhịp tim và huyết áp của cháu Q. tăng mạnh, gây tăng áp lực nội sọ và khiến túi phình vỡ dẫn đến xuất huyết não" - bác sĩ Hùng giải thích.

Co thắt mạch máu não do xuất huyết não và vỡ phình mạch
Bác sĩ Hùng cho biết phình mạch não là bệnh lý sâu, chỉ được phát hiện khi chụp các kỹ thuật chuyên sâu như CT mạch não hoặc MRI mạch não. Người mắc dị dạng này thường không có triệu chứng rõ ràng. Dấu hiệu "ngã rơi tự do" cho thấy não đã xuất huyết trước khi cơ thể tiếp đất.
Một chi tiết quan trọng được bác sĩ Hùng nhấn mạnh là tư thế ngã của nạn nhân trong đoạn video lan truyền. Ở người bình thường, khi ngã sẽ có phản xạ gồng cứng đầu - cổ - ngực để giảm chấn thương. Tuy nhiên, bác sĩ nhận định: "Trong clip, đầu cháu Q. gần như rơi tự do, không có phản xạ chống đỡ. Điều này phù hợp với tình huống não đã bị xuất huyết cấp tính, làm mất khả năng kiểm soát vận động ngay trước khi cơ thể chạm trên bàn bida".
Bác sĩ Hùng cho biết thêm: "Trước lúc ngã hình như bị kéo chân, nhưng động tác ngã của nạn nhân không như bình thường. Nếu là mình, mình sẽ gồng dậy - phản xạ tự nhiên kẻo đầu bị đập ra sau nhưng em Q. để đầu rơi tự do và để ý kỹ, về sau xảy ra hiện tượng co giật. Đấy là tổn thương não".

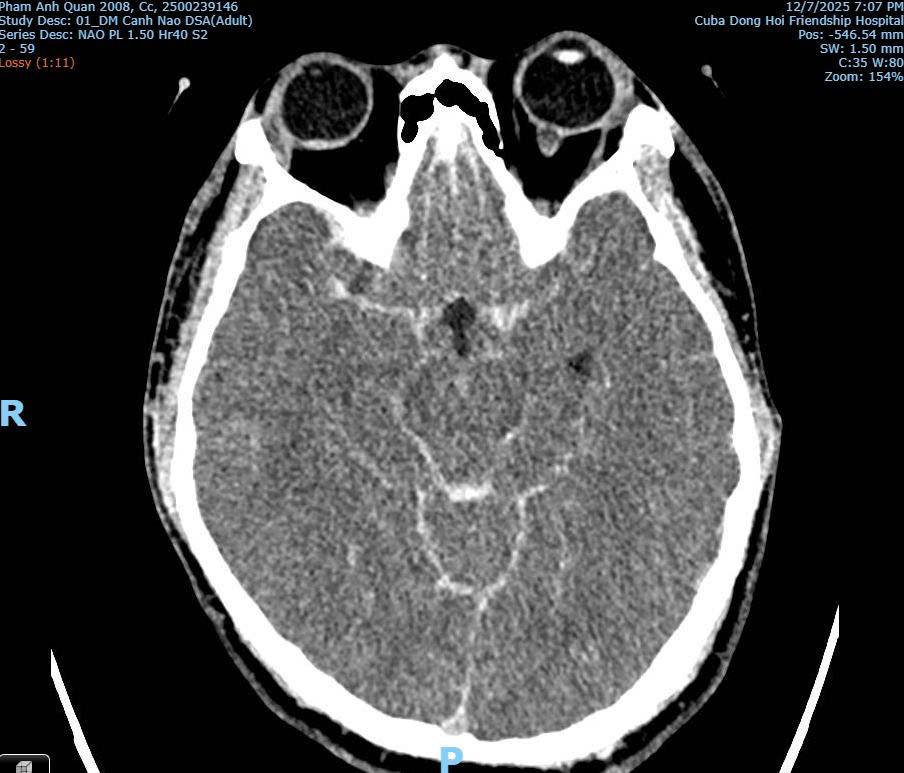
Hình ảnh CT/MRI: Xuất huyết dưới nhện do vỡ phình mạch máu não của bệnh nhân Phạm Anh Q. thời điểm tại Bệnh viện Hữu nghị Việt Nam - Cuba Đồng Hới
Bác sĩ Hùng khẳng định theo hình ảnh chuyên môn y khoa từ chẩn đoán thì không có dấu hiệu nào cho thấy nạn nhân bị đánh với lực đủ mạnh để gây gãy cổ hoặc chấn thương sọ não do tác động ngoại lực.
Phân tích từ hình ảnh chẩn đoán, bác sĩ Hùng cho biết không phát hiện tổn thương xương cột sống cổ, không có tổn thương vòm sọ, không có tổn thương não do lực tác động bên ngoài. Đồng thời chỉ ghi nhận xuất huyết não lan tỏa và phù não, điển hình của vỡ phình mạch não.
"Đây là ý kiến của cá nhân dưới góc nhìn y khoa, thông qua việc chẩn đoán bằng hình ảnh. Tuy nhiên, kết luận chính thức phải chờ kết quả giám định pháp y. Là người ngoài cuộc, tôi chỉ mong sự thật được nhìn nhận đúng dưới góc độ chuyên môn" - bác sĩ Hùng nói.
Cơ quan chức năng đang điều tra
Như Báo Người Lao Động đã đưa tin, khoảng 15 giờ 25 ngày 7-12, tại quán bida Sky Billiard Club Cafe ở phường Quảng Phong, thị xã Ba Đồn, tỉnh Quảng Bình (cũ) - nay thuộc phường Ba Đồn (Quảng Trị), Nguyễn An Bảo Chinh (SN 2007) và Phạm Anh Q. (SN 2008) xảy ra mâu thuẫn dẫn đến xô xát.

Cơ quan CSĐT Công an tỉnh Quảng Trị đã tạm giữ hình sự đối với Nguyễn An Bảo Chinh
Vụ việc khiến Q. bất tỉnh tại chỗ, được đưa đi cấp cứu tại bệnh viện nhưng tử vong vào chiều 8-12. Chinh chỉ bị thương nhẹ.
Tiếp nhận tin báo, Công an phường Ba Đồn triển khai các biện pháp xác minh. Sau đó, Cơ quan Cảnh sát điều tra Công an tỉnh Quảng Trị ra quyết định tạm giữ Nguyễn An Bảo Chinh để điều tra.
Được biết cho biết Q. và Chinh là bạn bè, thường xuyên chơi với nhau. Mâu thuẫn xảy ra bất ngờ trong lúc cả hai đang ở quán bida.