*Vui lòng nhập đủ thông tin email hoặc số điện thoại
TS.BS Ngô Chí Cương
Mắc cúm A, người phụ nữ Hà Nội phổi như bị bóp nghẹt, "không thể thở nổi"
Sống khỏe 2025-02-08T16:08:00Thấy người mệt mỏi, gai người và sốt, người phụ nữ tự mua thuốc về điều trị. Tuy nhiên, ngay trong đêm, chị đã phải vào viện khám do khó thở.
Bỏ ngoài tai lời bác sĩ nói, cặp đôi làm một việc khiến cả 2 cùng phải đến viện khám
Sống khỏe 2024-10-12T21:04:00Một cặp đôi đã phải tới bệnh viện thăm khám do nghi ngờ mắc bệnh lây qua đường tình dục.
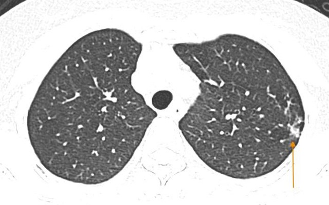
Người phụ nữ bỗng phát hiện gan, phổi tổn thương: Bác sĩ chỉ đích danh 2 thói quen làm tăng nguy cơ
Sống khỏe 2024-06-26T09:48:00Bệnh nhân 38 tuổi tại Hà Nội đi kiểm tra sức khỏe định kỳ, bỗng phát hiện tổn thương gan, phổi và lá lách.
2 mẹ con cùng mắc ung thư gan: 'Thủ phạm' là thứ có thể phòng ngừa được
Sống khỏe 2023-07-27T11:03:47Đau ở vị trí cổ tay trái và thượng vị, nữ nhân viên văn phòng đi khám phát hiện ung thư gan giai đoạn cuối.
Tâm điểm

