*Vui lòng nhập đủ thông tin email hoặc số điện thoại
Manulife
Tự đục vỡ xương để trục lợi bảo hiểm: Quá sợ kẻ vì tiền mà độc ác với chính mình
Nhịp sống mới 2025-11-17T13:59:00Chịu đục xương để trục lợi bảo hiểm, với chính cơ thể mình mà còn đối xử tàn nhẫn như vậy thì họ sẽ đối xử ra sao với người khác khi có cơ hội kiếm lợi?
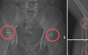
Cựu cán bộ y tế cầm đầu đường dây tự đánh vỡ xương trục lợi 6 tỷ đồng bảo hiểm
Pháp luật 2025-11-14T19:46:00Tạ Minh Châu tiêm thuốc mê, dùng búa tác động vào xương tạo nên các vết nứt, vỡ xương rồi dựng hiện trường giả điện giật, trượt chân ngã nhằm trục lợi bảo hiểm.
Manulife, Dai-ichi Life, AIA, Generali,... đồng loạt thông báo dừng triển khai nhiều sản phẩm bảo hiểm nhân thọ theo quy định mới
Kinh doanh 2025-06-20T12:32:00Các hãng bảo hiểm nhấn mạnh, việc điều chỉnh danh mục sản phẩm là một hoạt động thường xuyên nhằm đảm bảo sự phù hợp với các yêu cầu pháp lý hiện hành và nâng cao trải nghiệm khách hàng. Những hợp đồng phát hành trước ngày 01/07/2025 vẫn sẽ được đảm bảo quyền lợi đầy đủ theo đúng cam kết trong Hợp đồng khi tiếp tục duy trì hiệu lực.
Từ 1/7, ngừng triển khai hàng loạt sản phẩm bảo hiểm nhân thọ: Khách hàng đã đóng phí đầy đủ nhưng chưa được phê duyệt hợp đồng sẽ ra sao?
Kinh doanh 2025-06-15T09:43:00Khách hàng của 1 công ty bảo hiểm sẽ được hoàn trả toàn bộ phí đã đóng, không kèm lãi nếu thuộc trường hợp này.
Hàng loạt công ty bảo hiểm nhân thọ sẽ dừng bán nhiều dòng sản phẩm từ ngày 1/7/2025
Kinh doanh 2025-05-23T08:05:00Theo thông báo mới đây của nhiều đại lý bảo hiểm, từ ngày 1/7/2025, công ty bảo hiểm nhân thọ sẽ chính thức dừng bán nhiều dòng sản phẩm bảo hiểm và các sản phẩm bổ trợ liên quan.
Một công ty bảo hiểm bồi thường 2 tỷ cho gia đình nạn nhân vụ cháy ở Trung Kính
Kinh doanh 2024-05-27T15:02:00Hai khách hàng của công ty bảo hiểm nhân thọ này có tổng quyền lợi bồi thường ước tính 2 tỷ đồng.
DN kín tiếng chỉ hơn 30 người nhưng quản lý khối tài sản hơn 112.000 tỷ cho Manulife Việt Nam, rót cả chục nghìn tỷ mua cổ phiếu, chi gần 1 tỷ đồng cho mỗi nhân viên
Đa phần doanh thu của Manulife Investment đa phần đến từ việc thu phí quản lý danh mục đầu tư của công ty mẹ là Manulife (320 tỷ đồng).
Nhiều khách hàng bị Manulife từ chối huỷ hợp đồng gói "Tâm an đầu tư"
Thời sự - Xã hội 2023-11-07T14:18:44Sáng nay 7-11, nhiều người lại kéo đến trụ sở Manulife ở TP HCM tiếp tục khiếu nại về gói "Tâm an đầu tư" do hôm qua, một số khách hàng theo lịch hẹn tới đối chất để được giải quyết hủy hợp đồng nhưng đành thất vọng ra về.
Gần 70 khách hàng được Manulife gọi điện chốt ngày đối chất
Thời sự - Xã hội 2023-10-30T09:40:00Liên quan đến gửi tiền tiết kiệm ở Ngân hàng SCB nhưng lại trở thành gói bảo hiểm "Tâm an đầu tư" của Manulife đã kéo dài khoảng 6 tháng qua song vẫn chưa được giải quyết dứt điểm.
Sau lùm xùm ‘gửi tiết kiệm thành bảo hiểm’, công ty bảo hiểm lao dốc doanh thu, buộc có phản ứng lớn - đầy bất ngờ
Kinh doanh 2023-10-15T13:00:00Sau sự cố “gửi tiết kiệm thành bảo hiểm", các công ty bảo hiểm nhân thọ đã có động thái góp phần minh bạch hóa sản phẩm.
Manulife Việt Nam thay “tướng” hậu lùm xùm hợp đồng bảo hiểm
Kinh doanh 2023-07-17T17:11:00Bảo hiểm nhân thọ Manulife Việt Nam vừa có thay đổi lớn về nhân sự cấp cao.
Bộ Công an khuyến cáo người dân cần tỉnh táo, nghiên cứu kỹ trước khi ký hợp đồng ngân hàng, bảo hiểm,... để tránh bị lừa đảo
Pháp luật 2023-07-02T15:05:57Đại diện Cục Cảnh sát điều tra tội phạm về tham nhũng, kinh tế, buôn lậu, Bộ Công an khuyến cáo người dân trước khi tiến hành đặt bút ký vào những hợp đồng như kinh tế, ngân hàng, bảo hiểm… cần nghiên cứu kỹ, tránh xảy ra việc bị lừa đảo.

