*Vui lòng nhập đủ thông tin email hoặc số điện thoại
đau bụng vùng rốn
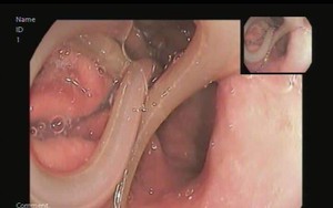
Rợn tóc gáy: Sinh vật dài 15cm lạc vào dạ dày bệnh nhân do thói quen ăn uống này
Sống khỏe 2019-04-04T21:45:32Bệnh nhân thường xuyên đau bụng vùng quanh rốn, khi vào viện nội soi dạ dày, bác sĩ phát hoảng khi nhìn thấy sinh vật dài 15cm trong dạ dày bệnh nhân.
Tâm điểm

