*Vui lòng nhập đủ thông tin email hoặc số điện thoại
bỏ đói tế bào ung thư
21 ngày 'bỏ đói' cơ thể, người đàn ông Hà Nội nhận kết quả khiến bác sĩ cảnh báo khẩn
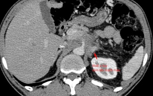
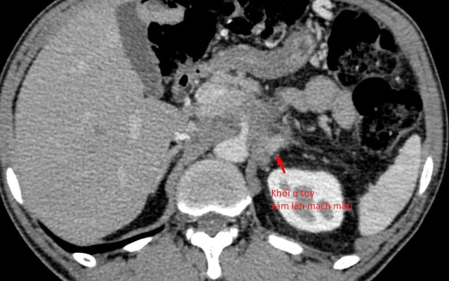
Sống khỏe 2025-12-24T16:32:00Một bệnh nhân nam đã tuyệt thực suốt 3 tuần với hy vọng “bỏ đói” khối u ung thư tụy. Tuy nhiên, kết quả không được như mong đợi.
Tâm điểm

