*Vui lòng nhập đủ thông tin email hoặc số điện thoại
bệnh hy hữu
Người đàn ông bệnh nặng vì thích chơi chim
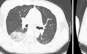
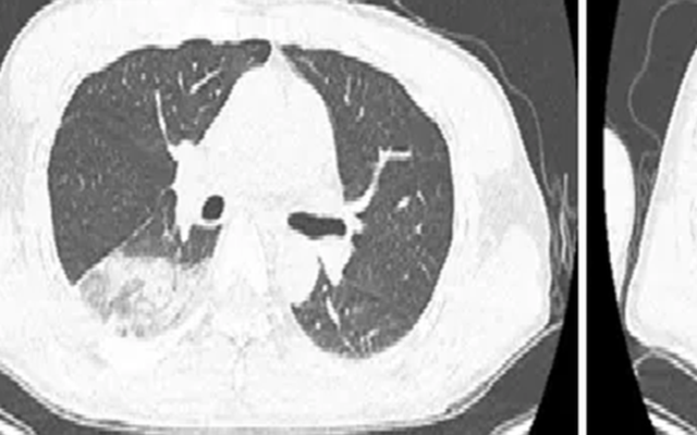
Sống khỏe 2025-11-05T20:11:00Nam bệnh nhân 46 tuổi đã sốt cao liên tục suốt 10 ngày, gan thận tổn thương nặng.
Tâm điểm
Nam bệnh nhân 46 tuổi đã sốt cao liên tục suốt 10 ngày, gan thận tổn thương nặng.
Tâm điểm